提醒成功

搜索
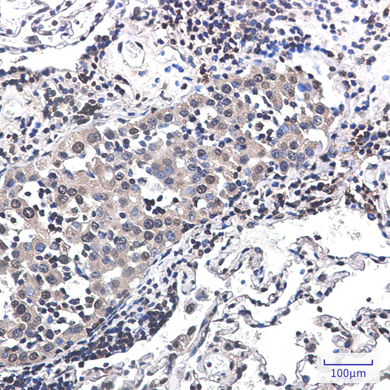
Rabbit Monoclonal Antibody to RSK2
-
货号:
P22566 -
别名:
RPS6KA3; ISPK1; MAPKAPK1B; RSK2; Ribosomal protein S6 kinase alpha-3; S6K-alpha-3; 90 kDa ribosomal protein S6 kinase 3; p90-RSK 3; p90RSK3; Insulin-stimulated protein kinase 1; ISPK-1; MAP kinase-activated protein kinase 1b; MAPK-activated -
应用:
WB,IP,IHC -
反应种属:
Human,Hamster -
抗体类型:
Primary antibody -
Swissprot:
P51812 -
规格:
-
数量:
-+ -
说明书:
目录价¥2180

Rabbit Monoclonal Antibody to RSK2
Description |
---|
This gene encodes a member of the RSK (ribosomal S6 kinase) family of serine/threonine kinases. This kinase contains 2 non-identical kinase catalytic domains and phosphorylates various substrates, including members of the mitogen-activated kinase (MAPK) signalling pathway. The activity of this protein has been implicated in controlling cell growth and differentiation. Mutations in this gene have been associated with Coffin-Lowry syndrome (CLS). |
Specification |
|
---|---|
Aliases | RPS6KA3; ISPK1; MAPKAPK1B; RSK2; Ribosomal protein S6 kinase alpha-3; S6K-alpha-3; 90 kDa ribosomal protein S6 kinase 3; p90-RSK 3; p90RSK3; Insulin-stimulated protein kinase 1; ISPK-1; MAP kinase-activated protein kinase 1b; MAPK-activated |
Entrez GeneID | 6197 |
Swissprot | P51812 |
WB Predicted band size | Calculated MW: 84 kDa; Observed MW: 84 kDa |
Host/Isotype | Rabbit IgG |
Antibody Type | Primary antibody |
Storage | Store at 4°C short term. Aliquot and store at -20°C long term. Avoid freeze/thaw cycles. |
Species Reactivity | Human,Hamster |
Immunogen | A synthetic peptide of human Rsk 2/MAPKAP Kinase 1b |
Formulation | Purified antibody in TBS with 0.05% sodium azide,0.05%BSA and 50% glycerol. |
Application |
|
---|---|
WB | 1/500-1/1000 |
IP | 1/10-1/20 |
IHC | 1/50-1/100 |
Product Image
For Reseach Only
Application Key:WB - Western Blot | IHC - Immunohistochemistry | ICC - Immunocytochemistry | FCM - Flow Cytometry | ELISA - Enzyme-linked Immunosorbent Assay | IP - Immunoprecipitation
#P22566

相关产品


