提醒成功

搜索
Rabbit Monoclonal Antibody to PBK
-
货号:
P22511 -
别名:
PBK; TOPK; Lymphokine-activated killer T-cell-originated protein kinase; Cancer/testis antigen 84; CT84; MAPKK-like protein kinase; Nori-3; PDZ-binding kinase; Spermatogenesis-related protein kinase; SPK; T-LAK cell-originated protein kinas -
应用:
WB,IP,IHC -
反应种属:
Human,Rat -
抗体类型:
Primary antibody -
Swissprot:
Q96KB5 -
规格:
-
数量:
-+ -
说明书:
目录价¥2180

Rabbit Monoclonal Antibody to PBK
Description |
---|
This genes encodes a serine/threonine kinase related to the dual specific mitogen-activated protein kinase kinase (MAPKK) family. Evidence suggests that mitotic phosphorylation is required for its catalytic activity. This mitotic kinase may be involved in the activation of lymphoid cells and support Ticular functions, with a suggested role in the process of spermatogenesis. |
Specification |
|
---|---|
Aliases | PBK; TOPK; Lymphokine-activated killer T-cell-originated protein kinase; Cancer/testis antigen 84; CT84; MAPKK-like protein kinase; Nori-3; PDZ-binding kinase; Spermatogenesis-related protein kinase; SPK; T-LAK cell-originated protein kinas |
Entrez GeneID | 55872 |
Swissprot | Q96KB5 |
WB Predicted band size | Calculated MW: 36 kDa; Observed MW: 40 kDa |
Host/Isotype | Rabbit IgG |
Antibody Type | Primary antibody |
Storage | Store at 4°C short term. Aliquot and store at -20°C long term. Avoid freeze/thaw cycles. |
Species Reactivity | Human,Rat |
Immunogen | Recombinant protein of human PBK/SPK |
Formulation | Purified antibody in TBS with 0.05% sodium azide,0.05%BSA and 50% glycerol. |
Application |
|
---|---|
WB | 1/500-1/1000 |
IP | 1/10-1/20 |
IHC | 1/50-1/100 |
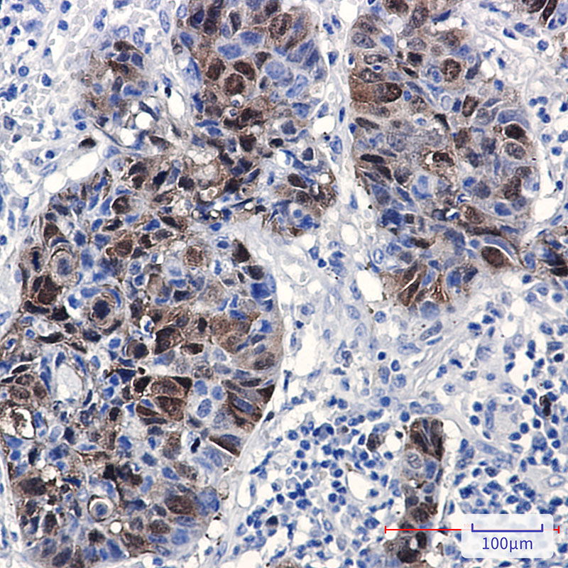
Product Image
- Western blot analysis of PBK/SPK in C6 lysates using PBK antibody.
- Western blot analysis of PBK/SPK in Hela, A549, HL-60, U2OS lysates using PBK/SPK antibody.
- Immunohistochemistry analysis of paraffin-embedded Human lung cancer using PBK/SPK antibody. High-pressure and temperature Sodium Citrate pH 6.0 was used for antigen retrieval.
For Reseach Only
Application Key:WB - Western Blot | IHC - Immunohistochemistry | ICC - Immunocytochemistry | FCM - Flow Cytometry | ELISA - Enzyme-linked Immunosorbent Assay | IP - Immunoprecipitation
#P22511

相关产品


