提醒成功

Mouse Monoclonal Antibody to NAGR1
-
货号:
31714 -
别名:
HNRNPM; CEAR; HNRPM; HTGR1; HNRPM4; HNRNPM4; hnRNP M -
应用:
WB,IHC,IF,FCM -
反应种属:
Human,Mouse,Rat -
抗体类型:
Primary antibody -
Swissprot:
P52272 -
规格:
-
数量:
-+ -
说明书:
目录价¥2180

Mouse Monoclonal Antibody to NAGR1
Description |
---|
This gene belongs to the subfamily of ubiquitously expressed heterogeneous nuclear ribonucleoproteins (hnRNPs). The hnRNPs are RNA binding proteins and they complex with heterogeneous nuclear RNA (hnRNA). These proteins are associated with pre-mRNAs in the nucleus and appear to influence pre-mRNA processing and other aspects of mRNA metabolism and transport. While all of the hnRNPs are present in the nucleus, some seem to shuttle between the nucleus and the cytoplasm. The hnRNP proteins have distinct nucleic acid binding properties. The protein encoded by this gene has three repeats of quasi-RRM domains that bind to RNAs. This protein also constitutes a monomer of the N-acetylglucosamine-specific receptor which is postulated to trigger selective recycling of immature GlcNAc-bearing thyroglobulin molecules. Alternative splicing results in multiple transcript variants. |
References |
---|
1.Mol Biol (Mosk). 2012 May-Jun;46(3):500-7. 2.Blood. 2008 Jan 1;111(1):338-43. |
Specification |
|
---|---|
Aliases | HNRNPM; CEAR; HNRPM; HTGR1; HNRPM4; HNRNPM4; hnRNP M |
Entrez GeneID | 4670 |
Swissprot | P52272 |
clone | 7E2D6 |
WB Predicted band size | 77.5kDa |
Host/Isotype | Mouse IgG1 |
Antibody Type | Primary antibody |
Storage | Store at 4°C short term. Aliquot and store at -20°C long term. Avoid freeze/thaw cycles. |
Species Reactivity | Human,Mouse,Rat |
Immunogen | Purified recombinant fragment of human NAGR1 (AA: 17-161) expressed in E. Coli. |
Formulation | Purified antibody in PBS with 0.05% sodium azide |
Application |
|
---|---|
WB | 1/500 - 1/2000 |
IHC | 1/200 - 1/1000 |
IF/ICC | 1/200 - 1/500 |
FCM | 1/200 - 1/400 |
ELISA | 1/10000 |
Product Image
- Black line: Control Antigen (100 ng);Purple line: Antigen (10ng); Blue line: Antigen (50 ng); Red line:Antigen (100 ng)
- Western blot analysis using NAGR1 mouse mAb against U251 (1), PC-12 (2), HepG2 (3), A549 (4), HEK293 (5), NIH/3T3 (6), and Hela (7) cell lysate.
- Immunofluorescence analysis of Hela cells using NAGR1 mouse mAb (green). Blue: DRAQ5 fluorescent DNA dye. Red: Actin filaments have been labeled with Alexa Fluor- 555 phalloidin. Secondary antibody from Fisher (Cat#: 35503)
- Flow cytometric analysis of Hela cells using NAGR1 mouse mAb (green) and negative control (red).
- Immunohistochemical analysis of paraffin-embedded human cervical cancer tissues using NAGR1 mouse mAb with DAB staining.
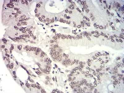
- Immunohistochemical analysis of paraffin-embedded human rectum cancer tissues using NAGR1 mouse mAb with DAB staining.
For Reseach Only
Application Key:WB - Western Blot | IHC - Immunohistochemistry | ICC - Immunocytochemistry | FCM - Flow Cytometry | ELISA - Enzyme-linked Immunosorbent Assay | IP - Immunoprecipitation
#31714

相关产品


