提醒成功

搜索
Rabbit Monoclonal Antibody to LAMP2
-
货号:
P22432 -
别名:
LAMP2; Lysosome-associated membrane glycoprotein 2; LAMP-2; Lysosome-associated membrane protein 2; CD107 antigen-like family member B; CD107b -
应用:
WB,IHC -
反应种属:
Human -
抗体类型:
Primary antibody -
Swissprot:
P13473 -
规格:
-
数量:
-+ -
说明书:
目录价¥2180

Rabbit Monoclonal Antibody to LAMP2
Description |
---|
Lysosomal-associated membrane protein 2 (LAMP2, synonyms: LAMPB, CD107b) is a member of a family of membrane glycoproteins. This glycoprotein provides selectins with carbohydrate ligands. LAMP2 may plays a role in tumor cell metastasis. It may also functions in the protection, maintenance, and adhesion of the lysosome.Prior to posttranslational modification, Lysosome Associated Membrane Protein 2 (LAMP2) is a ~45 kDa polypeptide. |
Specification |
|
---|---|
Aliases | LAMP2; Lysosome-associated membrane glycoprotein 2; LAMP-2; Lysosome-associated membrane protein 2; CD107 antigen-like family member B; CD107b |
Entrez GeneID | 3920 |
Swissprot | P13473 |
WB Predicted band size | Calculated MW: 45 kDa; Observed MW: 110 kDa |
Host/Isotype | Rabbit IgG |
Antibody Type | Primary antibody |
Storage | Store at 4°C short term. Aliquot and store at -20°C long term. Avoid freeze/thaw cycles. |
Species Reactivity | Human |
Immunogen | Recombinant protein of human LAMP2 |
Formulation | Purified antibody in TBS with 0.05% sodium azide,0.05%BSA and 50% glycerol. |
Application |
|
---|---|
WB | 1/500-1/1000 |
IHC | 1/50-1/100 |
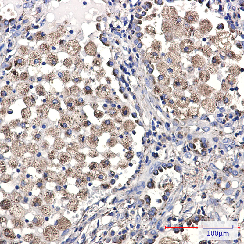
Product Image
For Reseach Only
Application Key:WB - Western Blot | IHC - Immunohistochemistry | ICC - Immunocytochemistry | FCM - Flow Cytometry | ELISA - Enzyme-linked Immunosorbent Assay | IP - Immunoprecipitation
#P22432

相关产品


