提醒成功

搜索
Rabbit Monoclonal Antibody to Ku70
-
货号:
P22430 -
别名:
XRCC6; G22P1; X-ray repair cross-complementing protein 6; 5'-deoxyribose-5-phosphate lyase Ku70; 5'-dRP lyase Ku70; 70 kDa subunit of Ku antigen; ATP-dependent DNA helicase 2 subunit 1; ATP-dependent DNA helicase II 70 kDa subunit; CTC box- -
应用:
WB,IHC,IF -
反应种属:
Human -
抗体类型:
Primary antibody -
Swissprot:
P12956 -
规格:
-
数量:
-+ -
说明书:
目录价¥2180

Rabbit Monoclonal Antibody to Ku70
Description |
---|
It works in the 3'-5' direction. Binding to DNA may be mediated by XRCC6. Involved in DNA non-homologous end joining (NHEJ) required for double-strand break repair and V(D)J recombination. The XRCC5/6 dimer acts as regulatory subunit of the DNA-dependent protein kinase complex DNA-PK by increasing the affinity of the catalytic subunit PRKDC to DNA by 100-fold. The XRCC5/6 dimer is probably involved in stabilizing broken DNA ends and bringing them together. |
Specification |
|
---|---|
Aliases | XRCC6; G22P1; X-ray repair cross-complementing protein 6; 5'-deoxyribose-5-phosphate lyase Ku70; 5'-dRP lyase Ku70; 70 kDa subunit of Ku antigen; ATP-dependent DNA helicase 2 subunit 1; ATP-dependent DNA helicase II 70 kDa subunit; CTC box- |
Entrez GeneID | 2547 |
Swissprot | P12956 |
WB Predicted band size | Calculated MW: 70 kDa; Observed MW: 70 kDa |
Host/Isotype | Rabbit IgG |
Antibody Type | Primary antibody |
Storage | Store at 4°C short term. Aliquot and store at -20°C long term. Avoid freeze/thaw cycles. |
Species Reactivity | Human |
Immunogen | A synthetic peptide of human Ku70 |
Formulation | Purified antibody in TBS with 0.05% sodium azide,0.05%BSA and 50% glycerol. |
Application |
|
---|---|
WB | 1/500-1/1000 |
IHC | 1/50-1/100 |
IF/ICC | 1/50-1/200 |
Product Image
- Western blot analysis of Ku70 in Hela, A549, MCF-7, U251 lysates using Ku70 antibody.
- Immunocytochemistry analysis of Ku70 (green) in CEM using Ku70 antibody,and DAPI(blue).
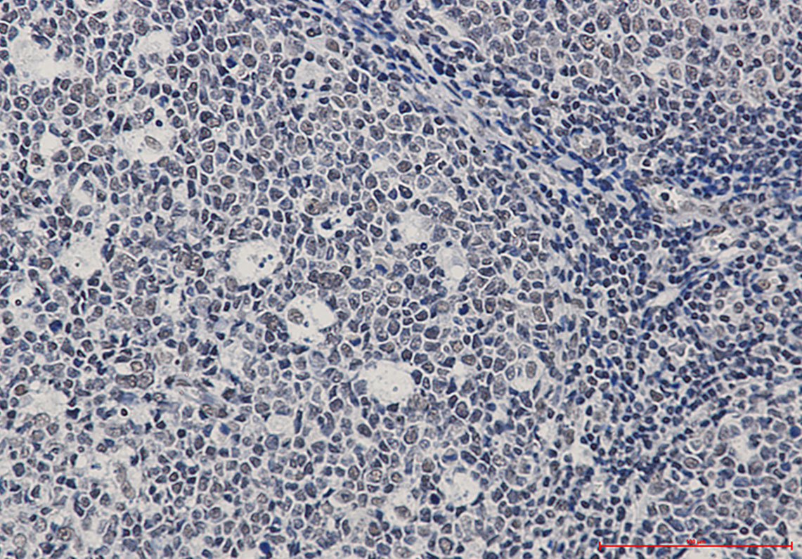
- Immunohistochemistry analysis of paraffin-embedded Human tonsil using Ku70 antibody. High-pressure and temperature Sodium Citrate pH 6.0 was used for antigen retrieval.
For Reseach Only
Application Key:WB - Western Blot | IHC - Immunohistochemistry | ICC - Immunocytochemistry | FCM - Flow Cytometry | ELISA - Enzyme-linked Immunosorbent Assay | IP - Immunoprecipitation
#P22430

相关产品


