提醒成功

搜索
Rabbit Monoclonal Antibody to Elongation Factor 1A1
-
货号:
P22340 -
别名:
EEF1A1; CCS-3; CCS3; EEF-1; EEF1A; EF-Tu; EF1A; GRAF-1EF; LENG7; PTI1; eEF1A-1 -
应用:
WB,IHC,IF -
反应种属:
Human,Rat -
抗体类型:
Primary antibody -
Swissprot:
P68104 -
规格:
-
数量:
-+ -
说明书:
目录价¥2180

Rabbit Monoclonal Antibody to Elongation Factor 1A1
Description |
---|
This protein promotes the GTP-dependent binding of aminoacyl-tRNA to the A-site of ribosomes during protein biosynthesis. |
Specification |
|
---|---|
Aliases | EEF1A1; CCS-3; CCS3; EEF-1; EEF1A; EF-Tu; EF1A; GRAF-1EF; LENG7; PTI1; eEF1A-1 |
Entrez GeneID | 1915 |
Swissprot | P68104 |
WB Predicted band size | Calculated MW: 50 kDa; Observed MW: 50 kDa |
Host/Isotype | Rabbit IgG |
Antibody Type | Primary antibody |
Storage | Store at 4°C short term. Aliquot and store at -20°C long term. Avoid freeze/thaw cycles. |
Species Reactivity | Human,Rat |
Immunogen | A synthetic peptide of human eEF1A1/EF-Tu |
Formulation | Purified antibody in TBS with 0.05% sodium azide,0.05%BSA and 50% glycerol. |
Application |
|
---|---|
WB | 1/500-1/1000 |
IHC | 1/50-1/100 |
IF/ICC | 1/50-1/200 |
Product Image
- Western blot analysis of eEF1A1/EFTu in U2OS, C6 lysates using eEF1A1/EFTu antibody.
- Immunocytochemistry analysis of Elongation Factor 1A1 (green) in Hela using Elongation Factor 1A1 antibody,and DAPI(blue).
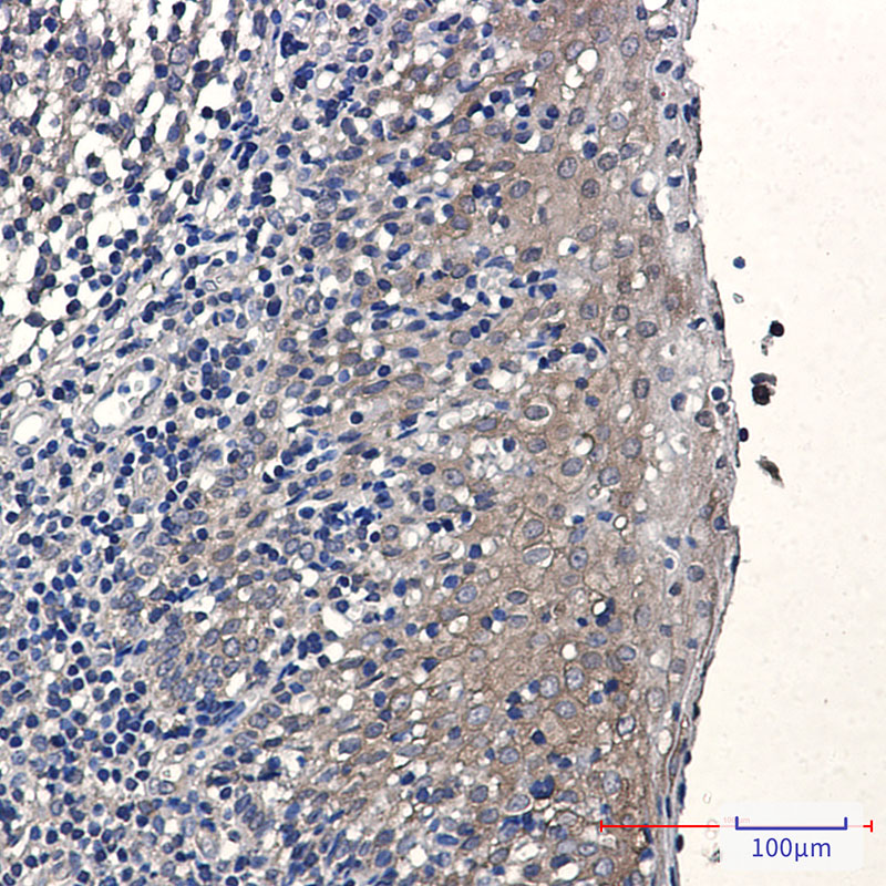
- Immunohistochemistry analysis of paraffin-embedded Human tonsil using eEF1A1/EFTu antibody. High-pressure and temperature Sodium Citrate pH 6.0 was used for antigen retrieval.
For Reseach Only
Application Key:WB - Western Blot | IHC - Immunohistochemistry | ICC - Immunocytochemistry | FCM - Flow Cytometry | ELISA - Enzyme-linked Immunosorbent Assay | IP - Immunoprecipitation
#P22340

相关产品


