提醒成功

搜索
Rabbit Monoclonal Antibody to alpha Internexin
-
货号:
P22251 -
别名:
INA; NEF5; Alpha-internexin; Alpha-Inx; 66 kDa neurofilament protein; NF-66; Neurofilament-66; Neurofilament 5 -
应用:
WB,IP,IHC,IF -
反应种属:
Human,Mouse,Rat -
抗体类型:
Primary antibody -
Swissprot:
Q16352 -
规格:
-
数量:
-+ -
说明书:
目录价¥2180

Rabbit Monoclonal Antibody to alpha Internexin
Description |
---|
Class-IV neuronal intermediate filament that is able to self-assemble. It is involved in the morphogenesis of neurons. It may form an independent structural network without the involvement of other neurofilaments or it may cooperate with NF-L to form the filamentous backbone to which NF-M and NF-H attach to form the cross-bridges. |
Specification |
|
---|---|
Aliases | INA; NEF5; Alpha-internexin; Alpha-Inx; 66 kDa neurofilament protein; NF-66; Neurofilament-66; Neurofilament 5 |
Entrez GeneID | 9118 |
Swissprot | Q16352 |
WB Predicted band size | Calculated MW: 55 kDa; Observed MW: 55 kDa |
Host/Isotype | Rabbit IgG |
Antibody Type | Primary antibody |
Storage | Store at 4°C short term. Aliquot and store at -20°C long term. Avoid freeze/thaw cycles. |
Species Reactivity | Human,Mouse,Rat |
Immunogen | A synthetic peptide of human alpha Internexin |
Formulation | Purified antibody in TBS with 0.05% sodium azide,0.05%BSA and 50% glycerol. |
Application |
|
---|---|
WB | 1/500-1/1000 |
IP | 1/10-1/20 |
IHC | 1/50-1/100 |
IF/ICC | 1/50-1/200 |
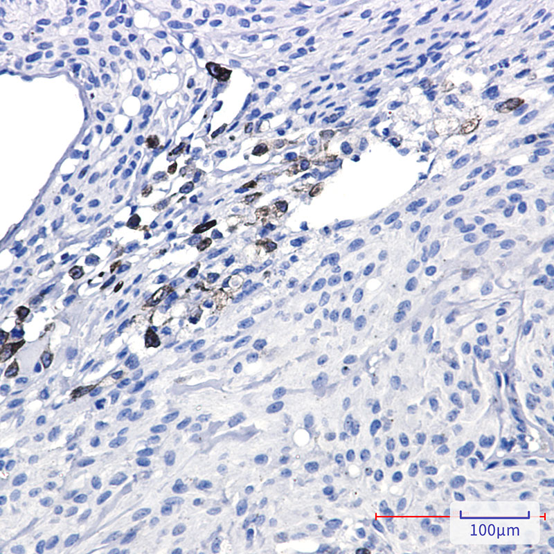
Product Image
- Western blot analysis of alpha Internexin in mouse brain, rat brain lysates using alpha Internexin antibody.
- Western blot analysis of alpha Internexin in rat Brain lysates using alpha Internexin antibody.
- Immunocytochemistry analysis of alpha Internexin (green) in hela using alpha Internexin antibody,and DAPI(blue).
- Immunohistochemistry analysis of paraffin-embedded Human Brain using alpha Internexin antibody. High-pressure and temperature Sodium Citrate pH 6.0 was used for antigen retrieval.
For Reseach Only
Application Key:WB - Western Blot | IHC - Immunohistochemistry | ICC - Immunocytochemistry | FCM - Flow Cytometry | ELISA - Enzyme-linked Immunosorbent Assay | IP - Immunoprecipitation
#P22251

相关产品


