提醒成功

搜索
Rabbit Monoclonal Antibody to AKAP95
-
货号:
P22249 -
别名:
AKAP8; AKAP95; A-kinase anchor protein 8; AKAP-8; A-kinase anchor protein 95 kDa; AKAP 95 -
应用:
WB,IHC,IF -
反应种属:
Human,Mouse,Rat -
抗体类型:
Primary antibody -
Swissprot:
O43823 -
规格:
-
数量:
-+ -
说明书:
目录价¥2180

Rabbit Monoclonal Antibody to AKAP95
Description |
---|
Anchoring protein that mediates the subcellular compartmentation of cAMP-dependent protein kinase (PKA type II). |
Specification |
|
---|---|
Aliases | AKAP8; AKAP95; A-kinase anchor protein 8; AKAP-8; A-kinase anchor protein 95 kDa; AKAP 95 |
Entrez GeneID | 10270 |
Swissprot | O43823 |
WB Predicted band size | Calculated MW: 76 kDa; Observed MW: 95 kDa |
Host/Isotype | Rabbit IgG |
Antibody Type | Primary antibody |
Storage | Store at 4°C short term. Aliquot and store at -20°C long term. Avoid freeze/thaw cycles. |
Species Reactivity | Human,Mouse,Rat |
Immunogen | A synthetic peptide of human AKAP 95 |
Formulation | Purified antibody in TBS with 0.05% sodium azide,0.05%BSA and 50% glycerol. |
Application |
|
---|---|
WB | 1/500-1/1000 |
IHC | 1/50-1/100 |
IF/ICC | 1/50-1/200 |
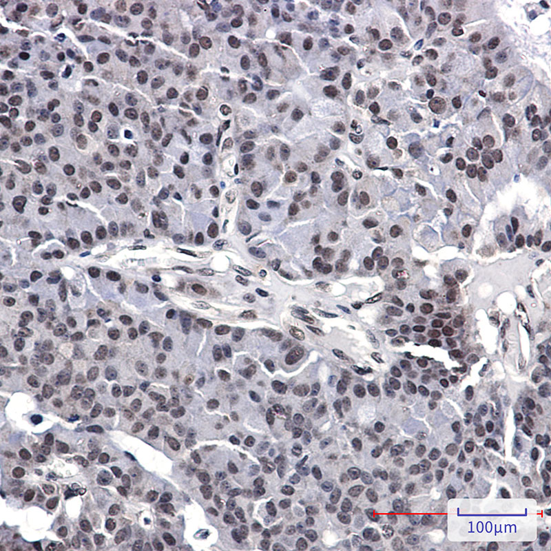
Product Image
- Western blot analysis of AKAP 95 in PC-12, 3T3 lysates using AKAP95 antibody.
- Western blot analysis of AKAP 95 in Hela, A549, HL-60, U251 lysates using AKAP 95 antibody.
- Immunocytochemistry analysis of AKAP 95 (green) in Hela using AKAP 95 antibody,and DAPI(blue).
- Immunohistochemistry analysis of paraffin-embedded Human breast cancer using AKAP 95 antibody. High-pressure and temperature Sodium Citrate pH 6.0 was used for antigen retrieval.
For Reseach Only
Application Key:WB - Western Blot | IHC - Immunohistochemistry | ICC - Immunocytochemistry | FCM - Flow Cytometry | ELISA - Enzyme-linked Immunosorbent Assay | IP - Immunoprecipitation
#P22249

相关产品


