提醒成功

搜索
Rabbit Monoclonal Antibody to AK3L1
-
货号:
P22248 -
别名:
AK3; AK 4; AK3L1; AK3L2 -
应用:
WB,IP,IHC,IF -
反应种属:
Human -
抗体类型:
Primary antibody -
Swissprot:
P27144 -
规格:
-
数量:
-+ -
说明书:
目录价¥2180

Rabbit Monoclonal Antibody to AK3L1
Description |
---|
Involved in maintaining the homeostasis of cellular nucleotides by catalyzing the interconversion of nucleoside phosphates. |
Specification |
|
---|---|
Aliases | AK3; AK 4; AK3L1; AK3L2 |
Entrez GeneID | 205 |
Swissprot | P27144 |
WB Predicted band size | Calculated MW: 25 kDa; Observed MW: 25 kDa |
Host/Isotype | Rabbit IgG |
Antibody Type | Primary antibody |
Storage | Store at 4°C short term. Aliquot and store at -20°C long term. Avoid freeze/thaw cycles. |
Species Reactivity | Human |
Immunogen | A synthetic peptide of human AK3L1 |
Formulation | Purified antibody in TBS with 0.05% sodium azide,0.05%BSA and 50% glycerol. |
Application |
|
---|---|
WB | 1/500-1/1000 |
IP | 1/10-1/20 |
IHC | 1/50-1/100 |
IF/ICC | 1/50-1/200 |
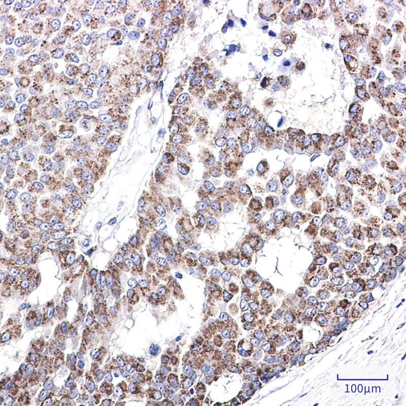
Product Image
- Western blot analysis of AK3L1 in Hela, A549, HL-60, U251, U87-MG lysates using AK3L1 antibody.
- Immunocytochemistry analysis of AK3L1 (green) in Hela using AK3L1 antibody,and DAPI(blue).
- Immunohistochemistry analysis of paraffin-embedded Human breast cancer tissue using AK3L1 antibody. High-pressure and temperature Sodium Citrate pH 6.0 was used for antigen retrieval.
For Reseach Only
Application Key:WB - Western Blot | IHC - Immunohistochemistry | ICC - Immunocytochemistry | FCM - Flow Cytometry | ELISA - Enzyme-linked Immunosorbent Assay | IP - Immunoprecipitation
#P22248

相关产品


