提醒成功
搜索
Rabbit Monoclonal Antibody to PACSIN3
-
货号:
P22227 -
别名:
SDPIII -
应用:
WB,IP,IHC,IF -
反应种属:
Human -
抗体类型:
Primary antibody -
Swissprot:
Q9UKS6 -
规格:
-
数量:
-+ -
说明书:
目录价¥2180
Rabbit Monoclonal Antibody to PACSIN3
Description |
|---|
Plays a role in endocytosis and regulates internalization of plasma membrane proteins. |
Specification |
|
|---|---|
| Aliases | SDPIII |
| Entrez GeneID | 29763 |
| Swissprot | Q9UKS6 |
| WB Predicted band size | Calculated MW: 48 kDa; Observed MW: 48 kDa |
| Host/Isotype | Rabbit IgG |
| Antibody Type | Primary antibody |
| Storage | Store at 4°C short term. Aliquot and store at -20°C long term. Avoid freeze/thaw cycles. |
| Species Reactivity | Human |
| Immunogen | A synthetic peptide of human PACSIN3 |
| Formulation | Purified antibody in TBS with 0.05% sodium azide,0.05%BSA and 50% glycerol. |
Application |
|
|---|---|
| WB | 1/500-1/1000 |
| IP | 1/10-1/20 |
| IHC | 1/50-1/100 |
| IF/ICC | 1/50-1/200 |
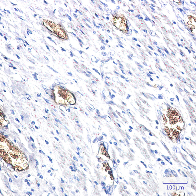
Product Image
- Western blot analysis of PACSIN3 in Hela, A549 lysates using PACSIN3 antibody.
- Immunocytochemistry analysis of PACSIN3 (green) in Hela using PACSIN3 antibody,and DAPI(blue)
- Immunohistochemistry analysis of paraffin-embedded Human colon cancer using PACSIN3 antibody.High-pressure and temperature Sodium Citrate pH 6.0 was used for antigen retrieval.
For Reseach Only
Application Key:WB - Western Blot | IHC - Immunohistochemistry | ICC - Immunocytochemistry | FCM - Flow Cytometry | ELISA - Enzyme-linked Immunosorbent Assay | IP - Immunoprecipitation
#P22227
相关产品

微信/QQ登录


首页
