提醒成功

搜索
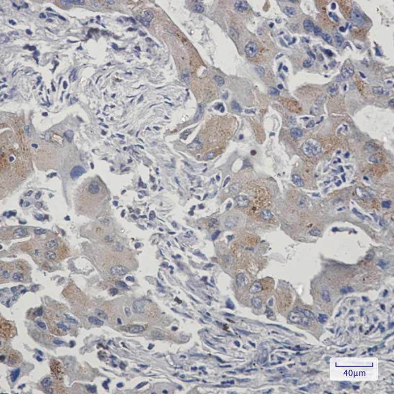
Rabbit Monoclonal Antibody to TAX1BP1
-
货号:
P22114 -
别名:
CALCOCO3; D6Ertd404e; D6Ertd772e; PRO0105; T6BP; TAX1BP1; tax1bp1b; TXBP151 -
应用:
WB,IHC -
反应种属:
Human -
抗体类型:
Primary antibody -
Swissprot:
Q86VP1 -
规格:
-
数量:
-+ -
说明书:
目录价¥2180

Rabbit Monoclonal Antibody to TAX1BP1
Description |
---|
Inhibits TNF-induced apoptosis by mediating the TNFAIP3 anti-apoptotic activity. Degraded by caspase-3-like family proteins upon TNF-induced apoptosis. May also play a role in the pro-inflammatory cytokine IL-1 signaling cascade. |
Specification |
|
---|---|
Aliases | CALCOCO3; D6Ertd404e; D6Ertd772e; PRO0105; T6BP; TAX1BP1; tax1bp1b; TXBP151 |
Entrez GeneID | 8887 |
Swissprot | Q86VP1 |
WB Predicted band size | Calculated MW: 91 kDa; Observed MW: 91 kDa |
Host/Isotype | Rabbit IgG |
Antibody Type | Primary antibody |
Storage | Store at 4°C short term. Aliquot and store at -20°C long term. Avoid freeze/thaw cycles. |
Species Reactivity | Human |
Immunogen | A synthetic peptide of human TRAF6BP |
Formulation | Purified antibody in TBS with 0.05% sodium azide,0.05%BSA and 50% glycerol. |
Application |
|
---|---|
WB | 1/500-1/1000 |
IHC | 1/50-1/100 |
Product Image
For Reseach Only
Application Key:WB - Western Blot | IHC - Immunohistochemistry | ICC - Immunocytochemistry | FCM - Flow Cytometry | ELISA - Enzyme-linked Immunosorbent Assay | IP - Immunoprecipitation
#P22114

相关产品


