提醒成功

搜索
Rabbit Monoclonal Antibody to SMAC
-
货号:
P22019 -
别名:
SMAC; DFNA64; DIABLO; SMAC3 -
应用:
WB,IP,IHC,IF -
反应种属:
Human,Mouse,Rat -
抗体类型:
Primary antibody -
Swissprot:
Q9NR28 -
规格:
-
数量:
-+ -
说明书:
目录价¥2180

Rabbit Monoclonal Antibody to SMAC
Description |
---|
Smac/Diablo is a 21 kDa mammalian mitochondrial protein that functions as a regulatory component during apoptosis. Upon mitochondrial stress, Smac/Diablo is released from mitochondria and competes with caspases for binding of IAPs (inhibitor of apoptosis proteins). The interaction of Smac/Diablo with IAPs relieves the inhibitory effect of the IAPs on caspases. |
Specification |
|
---|---|
Aliases | SMAC; DFNA64; DIABLO; SMAC3 |
Entrez GeneID | 56616 |
Swissprot | Q9NR28 |
WB Predicted band size | Calculated MW: 27 kDa; Observed MW: 21 kDa |
Host/Isotype | Rabbit IgG |
Antibody Type | Primary antibody |
Storage | Store at 4°C short term. Aliquot and store at -20°C long term. Avoid freeze/thaw cycles. |
Species Reactivity | Human,Mouse,Rat |
Immunogen | A synthetic peptide of human Smac/Diablo |
Formulation | Purified antibody in TBS with 0.05% sodium azide,0.05%BSA and 50% glycerol. |
Application |
|
---|---|
WB | 1/500-1/1000 |
IP | 1/10-1/20 |
IHC | 1/50-1/100 |
IF/ICC | 1/50-1/200 |
Product Image
- Western blot analysis of Smac/Diablo in mouse heart, rat skin lysates using SMAC antibody.
- Western blot analysis of Smac/Diablo in K562, Hela lysates using Smac/Diablo antibody.
- Immunocytochemistry analysis of Smac/Diablo(green) in Hela using Smac/Diablo antibody,and DAPI(blue)
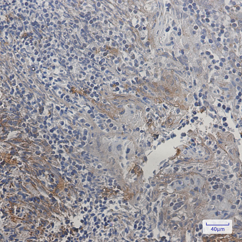
- Immunohistochemistry analysis of paraffin-embedded Human tonsil using Smac/Diablo antibody.High-pressure and temperature Sodium Citrate pH 6.0 was used for antigen retrieval.
For Reseach Only
Application Key:WB - Western Blot | IHC - Immunohistochemistry | ICC - Immunocytochemistry | FCM - Flow Cytometry | ELISA - Enzyme-linked Immunosorbent Assay | IP - Immunoprecipitation
#P22019

相关产品


