提醒成功
搜索
Rabbit Monoclonal Antibody to p150 CAF1
-
货号:
P21787 -
别名:
CHAF1A; CAF; CAF1P150; Chromatin assembly factor 1 subunit A; CAF-1 subunit A; Chromatin assembly factor I p150 subunit; CAF-I 150 kDa subunit; CAF-I p150; hp150 -
应用:
WB,IP,IHC,IF -
反应种属:
Human -
抗体类型:
Primary antibody -
Swissprot:
Q13111 -
规格:
-
数量:
-+ -
说明书:
目录价¥2180
Rabbit Monoclonal Antibody to p150 CAF1
Description |
|---|
Core component of the CAF-1 complex, a complex thought to mediate chromatin assembly in DNA replication and DNA repair. Assembles histone octamers onto replicating DNA in vitro. CAF-1 performs the first step of the nucleosome assembly process, bringing newly synthesized histones H3 and H4 to replicating DNA; histones H2A/H2B can bind to this chromatin precursor subsequent to DNA replication to complete the histone octamer. |
Specification |
|
|---|---|
| Aliases | CHAF1A; CAF; CAF1P150; Chromatin assembly factor 1 subunit A; CAF-1 subunit A; Chromatin assembly factor I p150 subunit; CAF-I 150 kDa subunit; CAF-I p150; hp150 |
| Entrez GeneID | 10036 |
| Swissprot | Q13111 |
| WB Predicted band size | Calculated MW: 107 kDa; Observed MW: 150 kDa |
| Host/Isotype | Rabbit IgG |
| Antibody Type | Primary antibody |
| Storage | Store at 4°C short term. Aliquot and store at -20°C long term. Avoid freeze/thaw cycles. |
| Species Reactivity | Human |
| Immunogen | A synthetic peptide of human p150 CAF1 |
| Formulation | Purified antibody in TBS with 0.05% sodium azide,0.05%BSA and 50% glycerol. |
Application |
|
|---|---|
| WB | 1/500-1/1000 |
| IP | 1/10-1/20 |
| IHC | 1/50-1/100 |
| IF/ICC | 1/50-1/200 |
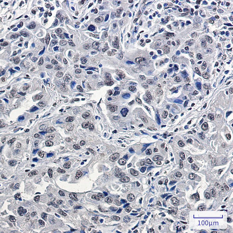
Product Image
- Western blot analysis of p150 CAF1 in K562 lysates using p150 CAF1 antibody.
- Immunocytochemistry analysis of p150 CAF1(green) in Hela using p150 CAF1 antibody,and DAPI(blue)
- Immunohistochemistry analysis of paraffin-embedded Human lung cancer using p150 CAF1/CAF antibody. High-pressure and temperature Sodium Citrate pH 6.0 was used for antigen retrieval.
For Reseach Only
Application Key:WB - Western Blot | IHC - Immunohistochemistry | ICC - Immunocytochemistry | FCM - Flow Cytometry | ELISA - Enzyme-linked Immunosorbent Assay | IP - Immunoprecipitation
#P21787
相关产品

微信/QQ登录


首页
