提醒成功

搜索
Rabbit Monoclonal Antibody to NXF1
-
货号:
P21778 -
别名:
DmNXF1; MEX67; Mex67p; Mvb1; NXF1; Sbr; TAP -
应用:
WB,IP,IHC,IF -
反应种属:
Human -
抗体类型:
Primary antibody -
Swissprot:
Q9UBU9 -
规格:
-
数量:
-+ -
说明书:
目录价¥2180

Rabbit Monoclonal Antibody to NXF1
Description |
---|
Involved in the nuclear export of mRNA species bearing retroviral constitutive transport elements (CTE) and in the export of mRNA from the nucleus to the cytoplasm. The NXF1-NXT1 heterodimer is involved in the export of HSP70 mRNA in conjunction with THOC4 and THOC5. |
Specification |
|
---|---|
Aliases | DmNXF1; MEX67; Mex67p; Mvb1; NXF1; Sbr; TAP |
Entrez GeneID | 10482 |
Swissprot | Q9UBU9 |
WB Predicted band size | Calculated MW: 70 kDa; Observed MW: 70 kDa |
Host/Isotype | Rabbit IgG |
Antibody Type | Primary antibody |
Storage | Store at 4°C short term. Aliquot and store at -20°C long term. Avoid freeze/thaw cycles. |
Species Reactivity | Human |
Immunogen | A synthetic peptide of human NXF1 |
Formulation | Purified antibody in TBS with 0.05% sodium azide,0.05%BSA and 50% glycerol. |
Application |
|
---|---|
WB | 1/500-1/1000 |
IP | 1/10-1/20 |
IHC | 1/50-1/100 |
IF/ICC | 1/50-1/200 |
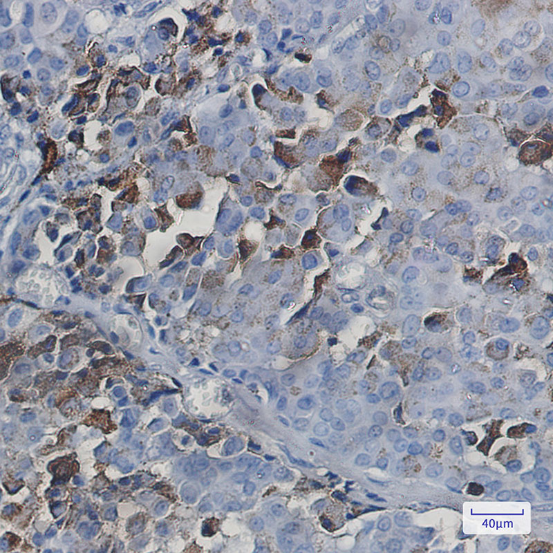
Product Image
- Western blot analysis of NXF1 in K562 lysates using NXF1 antibody.
- Immunocytochemistry analysis of NXF1 (green) in Jurkat using NXF1 antibody,and DAPI(blue).
- Immunohistochemistry analysis of paraffin-embedded Human breast cancer tissue using NXF1 antibody. High-pressure and temperature Sodium Citrate pH 6.0 was used for antigen retrieval.
For Reseach Only
Application Key:WB - Western Blot | IHC - Immunohistochemistry | ICC - Immunocytochemistry | FCM - Flow Cytometry | ELISA - Enzyme-linked Immunosorbent Assay | IP - Immunoprecipitation
#P21778

相关产品


