提醒成功

搜索
Rabbit Monoclonal Antibody to Histone H4
-
货号:
P21501 -
别名:
Histone H4 -
应用:
WB,IHC,IF -
反应种属:
Human -
抗体类型:
Primary antibody -
Swissprot:
P62805 -
规格:
-
数量:
-+ -
说明书:
目录价¥2180

Rabbit Monoclonal Antibody to Histone H4
Description |
---|
The chromatin fiber is further compacted through the interaction of a linker histone, H1, with the DNA between the nucleosomes to form higher order chromatin structures. This gene is intronless and encodes a member of the histone H4 family. |
Specification |
|
---|---|
Aliases | Histone H4 |
Entrez GeneID | 121504 |
Swissprot | P62805 |
WB Predicted band size | Calculated MW: 11 kDa; Observed MW: 11 kDa |
Host/Isotype | Rabbit IgG |
Antibody Type | Primary antibody |
Storage | Store at 4°C short term. Aliquot and store at -20°C long term. Avoid freeze/thaw cycles. |
Species Reactivity | Human |
Immunogen | A synthetic peptide of human Histone H4 |
Formulation | Purified antibody in TBS with 0.05% sodium azide,0.05%BSA and 50% glycerol. |
Application |
|
---|---|
WB | 1/500-1/1000 |
IHC | 1/50-1/100 |
IF/ICC | 1/50-1/200 |
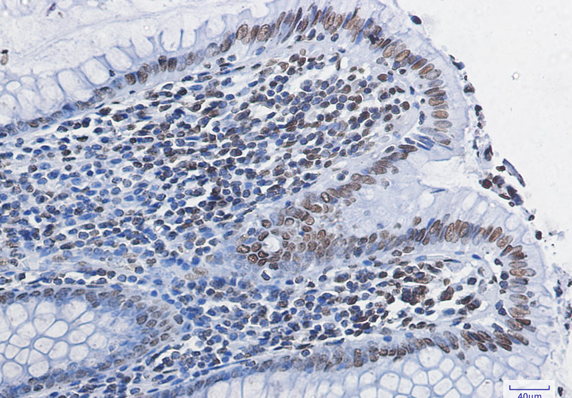
Product Image
- Western blot analysis of Histone H4 in Hela lysates using Histone H4 antibody.
- Immunocytochemistry analysis of Histone H4 (green) in Hela using Histone H4 antibody,and DAPI(blue).
- Immunohistochemistry analysis of paraffin-embedded Human colon cancer tissue using Histone H4 antibody. High-pressure and temperature Sodium Citrate pH 6.0 was used for antigen retrieval.
For Reseach Only
Application Key:WB - Western Blot | IHC - Immunohistochemistry | ICC - Immunocytochemistry | FCM - Flow Cytometry | ELISA - Enzyme-linked Immunosorbent Assay | IP - Immunoprecipitation
#P21501

相关产品


