提醒成功

搜索
Rabbit Monoclonal Antibody to FAM98B
-
货号:
P21380 -
别名:
Protein FAM98B -
应用:
WB,IHC,IF -
反应种属:
Human -
抗体类型:
Primary antibody -
Swissprot:
Q52LJ0 -
规格:
-
数量:
-+ -
说明书:
目录价¥2180

Rabbit Monoclonal Antibody to FAM98B
Description |
---|
Positively stimulates PRMT1-induced protein arginine dimethylated arginine methylation (PubMed:28040436). Promotes colorectal cancer cell malignancy (PubMed:28040436). |
Specification |
|
---|---|
Aliases | Protein FAM98B |
Entrez GeneID | 283742 |
Swissprot | Q52LJ0 |
WB Predicted band size | Calculated MW: 46 kDa; Observed MW: 37 kDa |
Host/Isotype | Rabbit IgG |
Antibody Type | Primary antibody |
Storage | Store at 4°C short term. Aliquot and store at -20°C long term. Avoid freeze/thaw cycles. |
Species Reactivity | Human |
Immunogen | Recombinant protein of human FAM98B |
Formulation | Purified antibody in TBS with 0.05% sodium azide,0.05%BSA and 50% glycerol. |
Application |
|
---|---|
WB | 1/500-1/1000 |
IHC | 1/50-1/100 |
IF/ICC | 1/50-1/200 |
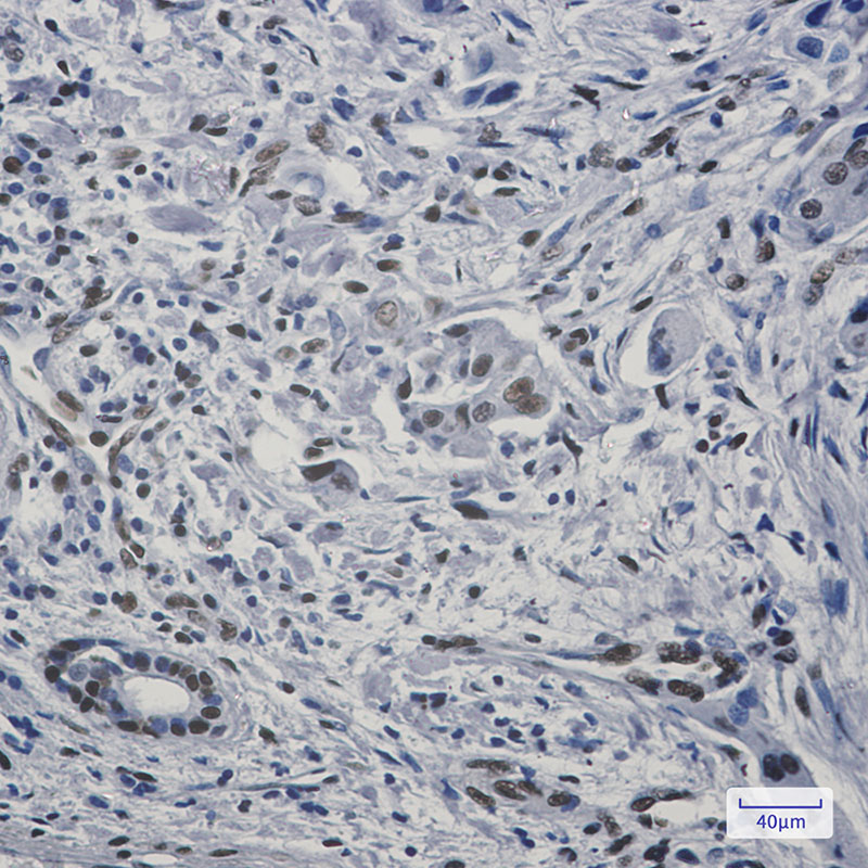
Product Image
- Western blot analysis of FAM98B in K562 lysates using FAM98B antibody.
- Immunocytochemistry analysis of FAM98B(green) in Hela using FAM98B antibody,and DAPI(blue)
- Immunohistochemistry analysis of paraffin-embedded Human lung cancer using FAM98B antibody.High-pressure and temperature Sodium Citrate pH 6.0 was used for antigen retrieval.
For Reseach Only
Application Key:WB - Western Blot | IHC - Immunohistochemistry | ICC - Immunocytochemistry | FCM - Flow Cytometry | ELISA - Enzyme-linked Immunosorbent Assay | IP - Immunoprecipitation
#P21380

相关产品


