提醒成功

搜索
Rabbit Monoclonal Antibody to FAM50A
-
货号:
P21379 -
别名:
family with sequence similarity 50 member A; 9F; XAP5; HXC26; HXC-26; DXS9928E -
应用:
WB,IP,IHC,IF -
反应种属:
Human,Mouse,Rat,Hamster -
抗体类型:
Primary antibody -
Swissprot:
Q14320 -
规格:
-
数量:
-+ -
说明书:
目录价¥2180

Rabbit Monoclonal Antibody to FAM50A
Description |
---|
May be a DNA-binding protein or transcriptional factor. |
Specification |
|
---|---|
Aliases | family with sequence similarity 50 member A; 9F; XAP5; HXC26; HXC-26; DXS9928E |
Entrez GeneID | 9130 |
Swissprot | Q14320 |
WB Predicted band size | Calculated MW: 40 kDa; Observed MW: 40 kDa |
Host/Isotype | Rabbit IgG |
Antibody Type | Primary antibody |
Storage | Store at 4°C short term. Aliquot and store at -20°C long term. Avoid freeze/thaw cycles. |
Species Reactivity | Human,Mouse,Rat,Hamster |
Immunogen | A synthetic peptide of human FAM50A |
Formulation | Purified antibody in TBS with 0.05% sodium azide,0.05%BSA and 50% glycerol. |
Application |
|
---|---|
WB | 1/500-1/1000 |
IP | 1/10-1/20 |
IHC | 1/50-1/100 |
IF/ICC | 1/50-1/200 |
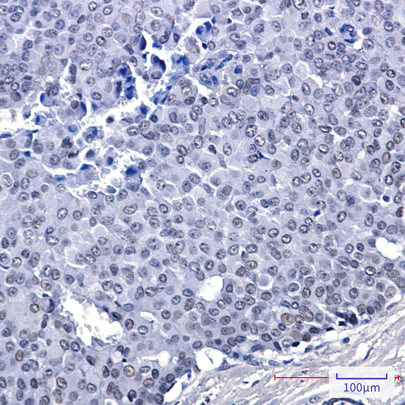
Product Image
- Western blot analysis of FAM50A/XAP in Hela, CHO-K1, C6, Jurkat lysates using FAM50A antibody.
- Western blot analysis of FAM50A/XAP in Smooth Muscle, HCT116, Hela lysates using FAM50A/XAP antibody.
- Immunocytochemistry analysis of FAM50A (green) in hela using FAM50A antibody,and DAPI(blue).
- Immunohistochemistry analysis of paraffin-embedded Human breast cancer using FAM50A antibody. High-pressure and temperature Sodium Citrate pH 6.0 was used for antigen retrieval.
For Reseach Only
Application Key:WB - Western Blot | IHC - Immunohistochemistry | ICC - Immunocytochemistry | FCM - Flow Cytometry | ELISA - Enzyme-linked Immunosorbent Assay | IP - Immunoprecipitation
#P21379

相关产品


