提醒成功
搜索
Rabbit Monoclonal Antibody to Aspartate Aminotransferase
-
货号:
P21374 -
别名:
KAT4; KATIV; KYAT4; mitAAT -
应用:
WB,IP,IHC -
反应种属:
Human,Mouse,Rat -
抗体类型:
Primary antibody -
Swissprot:
P00505 -
规格:
-
数量:
-+ -
说明书:
目录价¥2180
Rabbit Monoclonal Antibody to Aspartate Aminotransferase
Description |
|---|
Plays a key role in amino acid metabolism. Important for metabolite exchange between mitochondria and cytosol. Facilitates cellular uptake of long-chain free fatty acids. |
Specification |
|
|---|---|
| Aliases | KAT4; KATIV; KYAT4; mitAAT |
| Entrez GeneID | 2806 |
| Swissprot | P00505 |
| WB Predicted band size | Calculated MW: 48 kDa; Observed MW: 45 kDa |
| Host/Isotype | Rabbit IgG |
| Antibody Type | Primary antibody |
| Storage | Store at 4°C short term. Aliquot and store at -20°C long term. Avoid freeze/thaw cycles. |
| Species Reactivity | Human,Mouse,Rat |
| Immunogen | A synthetic peptide of human FABP-1 |
| Formulation | Purified antibody in TBS with 0.05% sodium azide,0.05%BSA and 50% glycerol. |
Application |
|
|---|---|
| WB | 1/500-1/1000 |
| IP | 1/10-1/20 |
| IHC | 1/50-1/100 |
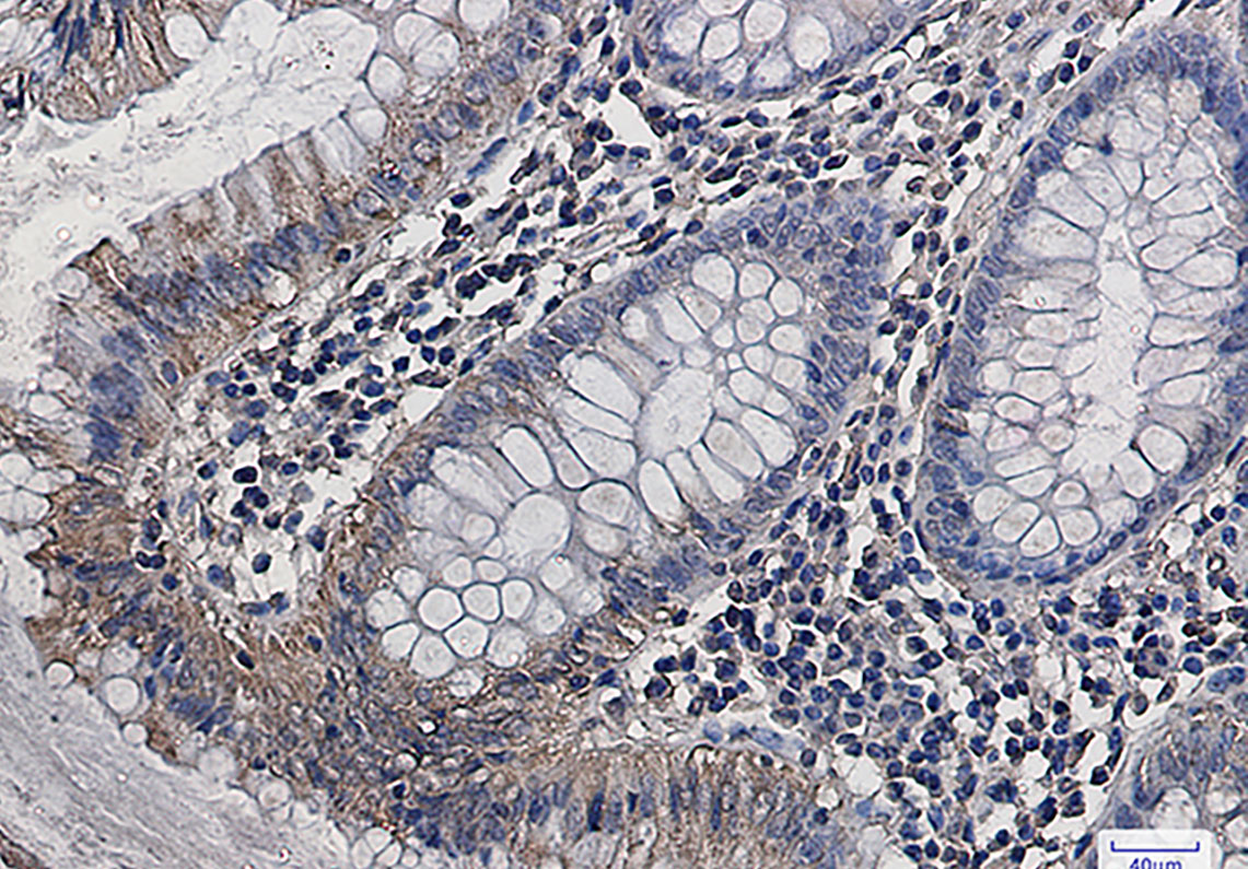
Product Image
For Reseach Only
Application Key:WB - Western Blot | IHC - Immunohistochemistry | ICC - Immunocytochemistry | FCM - Flow Cytometry | ELISA - Enzyme-linked Immunosorbent Assay | IP - Immunoprecipitation
#P21374
相关产品

微信/QQ登录


首页
