提醒成功

搜索
Rabbit Monoclonal Antibody to Extracellular Matrix Protein 1
-
货号:
P21372 -
别名:
ECM1; Extracellular matrix protein 1; Secretory component p85 -
应用:
WB,IP,IHC,IF -
反应种属:
Human -
抗体类型:
Primary antibody -
Swissprot:
Q16610 -
规格:
-
数量:
-+ -
说明书:
目录价¥2180

Rabbit Monoclonal Antibody to Extracellular Matrix Protein 1
Description |
---|
Involved in endochondral bone formation as negative regulator of bone mineralization. Stimulates the proliferation of endothelial cells and promotes angiogenesis. Inhibits MMP9 proteolytic activity. |
Specification |
|
---|---|
Aliases | ECM1; Extracellular matrix protein 1; Secretory component p85 |
Entrez GeneID | 1893 |
Swissprot | Q16610 |
WB Predicted band size | Calculated MW: 61 kDa; Observed MW: 61 kDa |
Host/Isotype | Rabbit IgG |
Antibody Type | Primary antibody |
Storage | Store at 4°C short term. Aliquot and store at -20°C long term. Avoid freeze/thaw cycles. |
Species Reactivity | Human |
Immunogen | A synthetic peptide of human Extracellular matrix protein 1 |
Formulation | Purified antibody in TBS with 0.05% sodium azide,0.05%BSA and 50% glycerol. |
Application |
|
---|---|
WB | 1/500-1/1000 |
IP | 1/10-1/20 |
IHC | 1/50-1/100 |
IF/ICC | 1/50-1/200 |
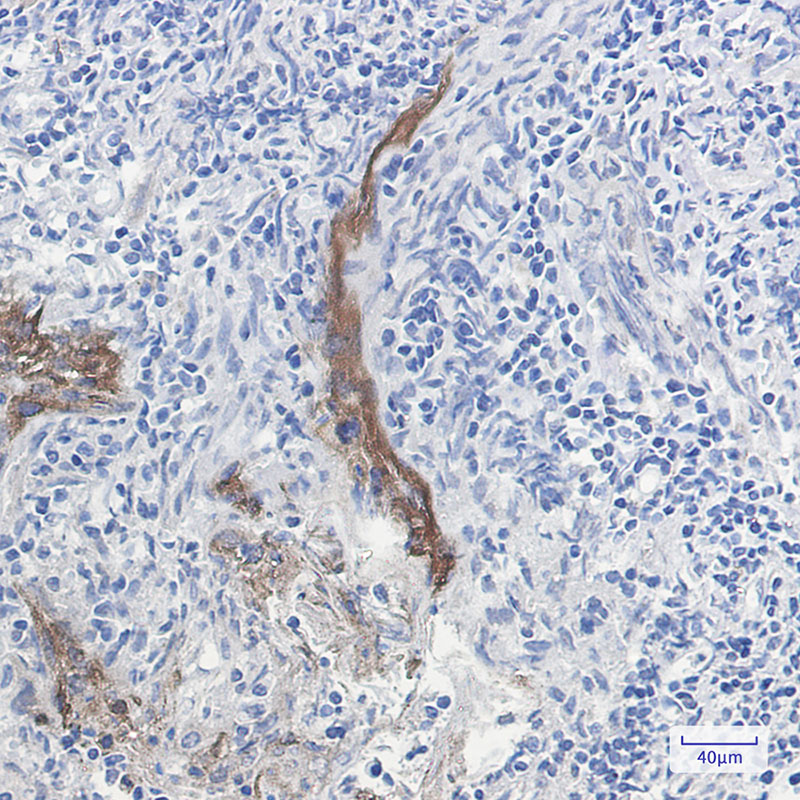
Product Image
- Western blot analysis of Extracellular matrix protein 1 in Hela lysates using Extracellular matrix protein 1 antibody.
- Immunocytochemistry analysis of Extracellular Matrix Protein 1 (green) in K562 using Extracellular Matrix Protein 1 antibody,and DAPI(blue).
- Immunohistochemistry analysis of paraffin-embedded Human tonsil using Extracellular matrix protein 1 antibody. High-pressure and temperature Sodium Citrate pH 6.0 was used for antigen retrieval.
For Reseach Only
Application Key:WB - Western Blot | IHC - Immunohistochemistry | ICC - Immunocytochemistry | FCM - Flow Cytometry | ELISA - Enzyme-linked Immunosorbent Assay | IP - Immunoprecipitation
#P21372

相关产品


