提醒成功

搜索
Rabbit Monoclonal Antibody to Estrogen Receptor alpha
-
货号:
P21367 -
别名:
ESR1; Era; Eralpha; Estrogen receptor; Estradiol receptor; ER-alpha; Estrogen receptor 1; NR3A1; ER; ESR; ESRA; Estrogen receptor alpha -
应用:
WB,IP,IHC,IF -
反应种属:
Human -
抗体类型:
Primary antibody -
Swissprot:
P03372 -
规格:
-
数量:
-+ -
说明书:
目录价¥2180

Rabbit Monoclonal Antibody to Estrogen Receptor alpha
Description |
---|
ER (estrogen receptor 1) a member of the steroid receptor superfamily, contains highly conserved DNA binding (DBD) and ligand binding domains (LBD). Through its estrogen-independent and estrogen-dependent activation domains (AF-1 and AF-2, respectively), ER regulates transcription by recruiting coactivator proteins and interacting with general transcriptional machinery. Phosphorylation provides an important mechanism to regulate ER activity. ER is phosphorylated on multiple sites. |
Specification |
|
---|---|
Aliases | ESR1; Era; Eralpha; Estrogen receptor; Estradiol receptor; ER-alpha; Estrogen receptor 1; NR3A1; ER; ESR; ESRA; Estrogen receptor alpha |
Entrez GeneID | 2099 |
Swissprot | P03372 |
WB Predicted band size | Calculated MW: 66 kDa; Observed MW: 66 kDa |
Host/Isotype | Rabbit IgG |
Antibody Type | Primary antibody |
Storage | Store at 4°C short term. Aliquot and store at -20°C long term. Avoid freeze/thaw cycles. |
Species Reactivity | Human |
Immunogen | A synthetic peptide of human Estrogen Receptor alpha |
Formulation | Purified antibody in TBS with 0.05% sodium azide,0.05%BSA and 50% glycerol. |
Application |
|
---|---|
WB | 1/500-1/1000 |
IP | 1/10-1/20 |
IHC | 1/50-1/100 |
IF/ICC | 1/50-1/200 |
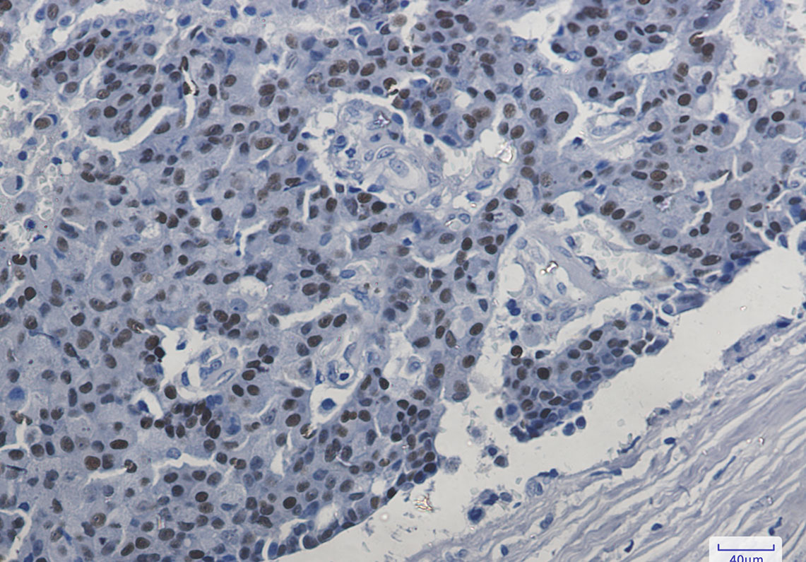
Product Image
- Western blot analysis of Estrogen Receptor alpha in K562, Hela lysates using Estrogen Receptor alpha antibody.
- Immunocytochemistry analysis of Estrogen Receptor alpha (green) in MCF-7 using Estrogen Receptor alpha antibody,and DAPI(blue)
- Immunohistochemistry analysis of paraffin-embedded Human breast cancer using Estrogen Receptor alpha antibody.High-pressure and temperature Sodium Citrate pH 6.0 was used for antigen retrieval.
For Reseach Only
Application Key:WB - Western Blot | IHC - Immunohistochemistry | ICC - Immunocytochemistry | FCM - Flow Cytometry | ELISA - Enzyme-linked Immunosorbent Assay | IP - Immunoprecipitation
#P21367

相关产品


