提醒成功

搜索
Rabbit Monoclonal Antibody to EpCAM
-
货号:
P21360 -
别名:
EPCAM; GA733-2; M1S2; M4S1; MIC18; TACSTD1; TROP1; Epithelial cell adhesion molecule; Ep-CAM; Adenocarcinoma-associated antigen; Cell surface glycoprotein Trop-1; Epithelial cell surface antigen; Epithelial glycoprotein; EGP; Epithelial glycoprotein 314; EGP314; hEGP314; KS 1/4 antigen; KSA; Major gastrointestinal tumor-associated protein GA733-2; Tumor-associated calcium signal transducer 1; CD326 -
应用:
WB,IP,IHC,IF -
反应种属:
Human,Mouse,Rat -
抗体类型:
Primary antibody -
Swissprot:
P16422 -
规格:
-
数量:
-+ -
说明书:
目录价¥2180

Rabbit Monoclonal Antibody to EpCAM
Description |
---|
May act as a physical homophilic interaction molecule between intestinal epithelial cells (IECs) and intraepithelial lymphocytes (IELs) at the mucosal epithelium for providing immunological barrier as a first line of defense against mucosal infection. Plays a role in embryonic stem cells proliferation and differentiation. Up-regulates the expression of FABP5, MYC and cyclins A and E. |
Specification |
|
---|---|
Aliases | EPCAM; GA733-2; M1S2; M4S1; MIC18; TACSTD1; TROP1; Epithelial cell adhesion molecule; Ep-CAM; Adenocarcinoma-associated antigen; Cell surface glycoprotein Trop-1; Epithelial cell surface antigen; Epithelial glycoprotein; EGP; Epithelial glycoprotein 314; EGP314; hEGP314; KS 1/4 antigen; KSA; Major gastrointestinal tumor-associated protein GA733-2; Tumor-associated calcium signal transducer 1; CD326 |
Entrez GeneID | 4072 |
Swissprot | P16422 |
WB Predicted band size | Calculated MW: 35 kDa; Observed MW: 35,39 kDa |
Host/Isotype | Rabbit IgG |
Antibody Type | Primary antibody |
Storage | Store at 4°C short term. Aliquot and store at -20°C long term. Avoid freeze/thaw cycles. |
Species Reactivity | Human,Mouse,Rat |
Immunogen | Recombinant protein of human EpCAM |
Formulation | Purified antibody in TBS with 0.05% sodium azide,0.05%BSA and 50% glycerol. |
Application |
|
---|---|
WB | 1/500-1/1000 |
IP | 1/10-1/20 |
IHC | 1/50-1/100 |
IF/ICC | 1/50-1/200 |
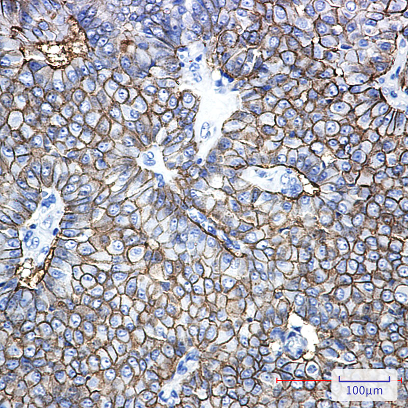
Product Image
- Western blot analysis of EpCAM in rat colon, mouse colon lysates using EpCAM antibody.
- Western blot analysis of EpCAM in MCF-7, HCT116, T47D, Hela lysates using EpCAM antibody.
- Immunocytochemistry analysis of EpCAM (green) in MCF-7 using EpCAM antibody,and DAPI(blue).
- Immunohistochemistry analysis of paraffin-embedded Human breast cancer using EpCAM antibody. High-pressure and temperature Sodium Citrate pH 6.0 was used for antigen retrieval.
For Reseach Only
Application Key:WB - Western Blot | IHC - Immunohistochemistry | ICC - Immunocytochemistry | FCM - Flow Cytometry | ELISA - Enzyme-linked Immunosorbent Assay | IP - Immunoprecipitation
#P21360

相关产品


