提醒成功
搜索
Rabbit Monoclonal Antibody to ENT2
-
货号:
P21358 -
别名:
DER12; ei-type; HNP36; Nucleoside transporter; SLC29A2 -
应用:
WB,IHC,IF -
反应种属:
Human -
抗体类型:
Primary antibody -
Swissprot:
Q14542 -
规格:
-
数量:
-+ -
说明书:
目录价¥2180
Rabbit Monoclonal Antibody to ENT2
Description |
|---|
Mediates equilibrative transport of purine, pyrimidine nucleosides and the purine base hypoxanthine. Very less sensitive than SLC29A1 to inhibition by nitrobenzylthioinosine (NBMPR), dipyridamole, dilazep and draflazine. |
Specification |
|
|---|---|
| Aliases | DER12; ei-type; HNP36; Nucleoside transporter; SLC29A2 |
| Entrez GeneID | 3177 |
| Swissprot | Q14542 |
| WB Predicted band size | Calculated MW: 50 kDa; Observed MW: 60 kDa |
| Host/Isotype | Rabbit IgG |
| Antibody Type | Primary antibody |
| Storage | Store at 4°C short term. Aliquot and store at -20°C long term. Avoid freeze/thaw cycles. |
| Species Reactivity | Human |
| Immunogen | A synthetic peptide of human ENT2 |
| Formulation | Purified antibody in TBS with 0.05% sodium azide,0.05%BSA and 50% glycerol. |
Application |
|
|---|---|
| WB | 1/500-1/1000 |
| IHC | 1/50-1/100 |
| IF/ICC | 1/50-1/200 |
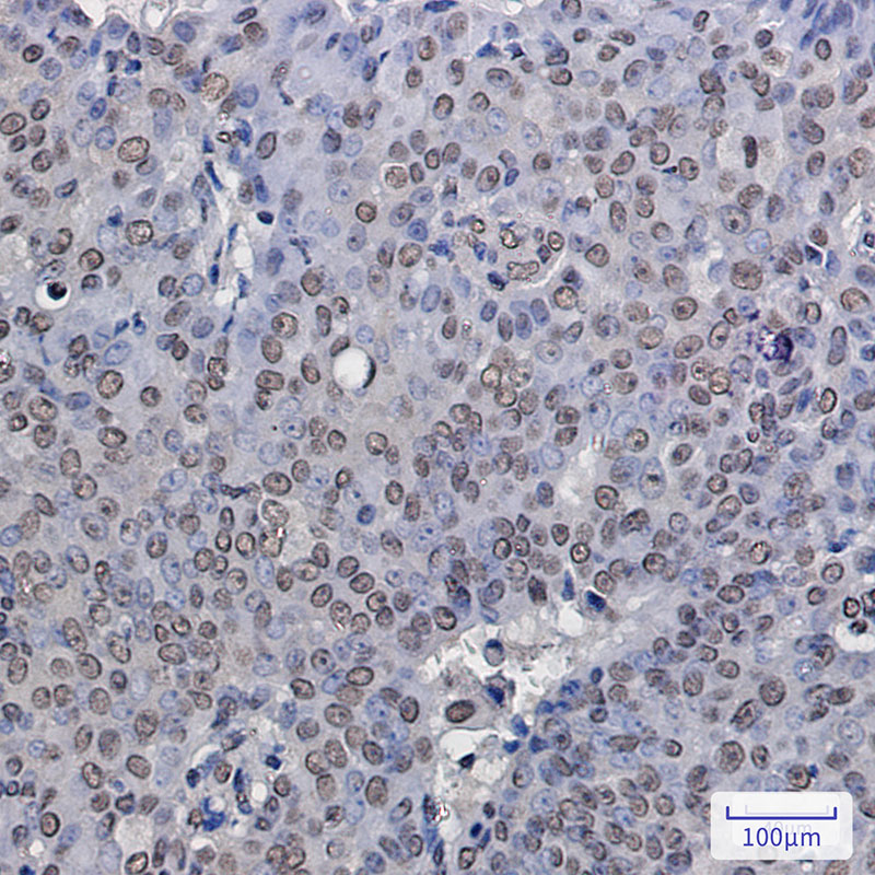
Product Image
- Western blot analysis of ENT2 in K562 lysates using ENT2 antibody.
- Immunocytochemistry analysis of ENT2 (green) in Hela using ENT2 antibody,and DAPI(blue)
- Immunohistochemistry analysis of paraffin-embedded Human breast cancer using ENT2 antibody.High-pressure and temperature Sodium Citrate pH 6.0 was used for antigen retrieval.
For Reseach Only
Application Key:WB - Western Blot | IHC - Immunohistochemistry | ICC - Immunocytochemistry | FCM - Flow Cytometry | ELISA - Enzyme-linked Immunosorbent Assay | IP - Immunoprecipitation
#P21358
相关产品

微信/QQ登录


首页
