提醒成功
搜索
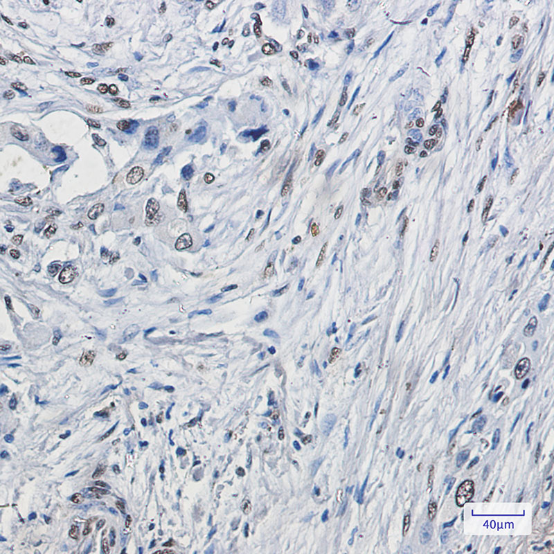
Rabbit Monoclonal Antibody to ELK1
-
货号:
P21349 -
别名:
ETS domain-containing protein Elk-1 -
应用:
WB,IP,IHC -
反应种属:
Human -
抗体类型:
Primary antibody -
Swissprot:
P19419 -
规格:
-
数量:
-+ -
说明书:
目录价¥2180
Rabbit Monoclonal Antibody to ELK1
Description |
|---|
This gene is a member of the Ets family of transcription factors and of the ternary complex factor (TCF) subfamily. Proteins of the TCF subfamily form a ternary complex by binding to the the serum response factor and the serum reponse element in the promoter of the c-fos proto-oncogene. The protein encoded by this gene is a nuclear target for the ras-raf-MAPK signaling cascade. |
Specification |
|
|---|---|
| Aliases | ETS domain-containing protein Elk-1 |
| Entrez GeneID | 2002 |
| Swissprot | P19419 |
| WB Predicted band size | Calculated MW: 45 kDa; Observed MW: 62 kDa |
| Host/Isotype | Rabbit IgG |
| Antibody Type | Primary antibody |
| Storage | Store at 4°C short term. Aliquot and store at -20°C long term. Avoid freeze/thaw cycles. |
| Species Reactivity | Human |
| Immunogen | A synthetic peptide of human ELK1 |
| Formulation | Purified antibody in TBS with 0.05% sodium azide,0.05%BSA and 50% glycerol. |
Application |
|
|---|---|
| WB | 1/500-1/1000 |
| IP | 1/10-1/20 |
| IHC | 1/50-1/100 |
Product Image
For Reseach Only
Application Key:WB - Western Blot | IHC - Immunohistochemistry | ICC - Immunocytochemistry | FCM - Flow Cytometry | ELISA - Enzyme-linked Immunosorbent Assay | IP - Immunoprecipitation
#P21349
相关产品

微信/QQ登录


首页
