提醒成功

搜索
Rabbit Monoclonal Antibody to DPD
-
货号:
P21330 -
别名:
DPYD; Dihydropyrimidine dehydrogenase [NADP(+)]; DHPDHase; DPD; Dihydrothymine dehydrogenase; Dihydrouracil dehydrogenase -
应用:
WB,IHC,IF -
反应种属:
Human,Rat -
抗体类型:
Primary antibody -
Swissprot:
Q12882 -
规格:
-
数量:
-+ -
说明书:
目录价¥2180

Rabbit Monoclonal Antibody to DPD
Description |
---|
Involved in pyrimidine base degradation. Catalyzes the reduction of uracil and thymine. Also involved the degradation of the chemotherapeutic drug 5-fluorouracil. |
Specification |
|
---|---|
Aliases | DPYD; Dihydropyrimidine dehydrogenase [NADP(+)]; DHPDHase; DPD; Dihydrothymine dehydrogenase; Dihydrouracil dehydrogenase |
Entrez GeneID | 1806 |
Swissprot | Q12882 |
WB Predicted band size | Calculated MW: 111 kDa; Observed MW: 111 kDa |
Host/Isotype | Rabbit IgG |
Antibody Type | Primary antibody |
Storage | Store at 4°C short term. Aliquot and store at -20°C long term. Avoid freeze/thaw cycles. |
Species Reactivity | Human,Rat |
Immunogen | A synthetic peptide of human DPD |
Formulation | Purified antibody in TBS with 0.05% sodium azide,0.05%BSA and 50% glycerol. |
Application |
|
---|---|
WB | 1/500-1/1000 |
IHC | 1/50-1/100 |
IF/ICC | 1/50-1/200 |
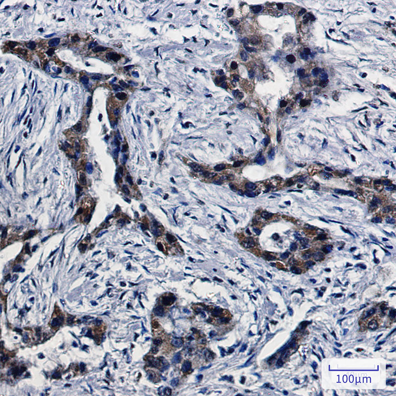
Product Image
- Western blot analysis of DPD in C6 lysates using DPD antibody.
- Immunocytochemistry analysis of DPD(green) in Hela using DPD antibody,and DAPI(blue)
- Immunohistochemistry analysis of paraffin-embedded Human lung cancer using DPD antibody. High-pressure and temperature Sodium Citrate pH 6.0 was used for antigen retrieval.
For Reseach Only
Application Key:WB - Western Blot | IHC - Immunohistochemistry | ICC - Immunocytochemistry | FCM - Flow Cytometry | ELISA - Enzyme-linked Immunosorbent Assay | IP - Immunoprecipitation
#P21330

相关产品


