提醒成功
搜索
Rabbit Monoclonal Antibody to DKC1
-
货号:
P21319 -
别名:
DKC1; NOLA4; H/ACA ribonucleoprotein complex subunit 4; CBF5 homolog; Dyskerin; Nopp140-associated protein of 57 kDa; Nucleolar protein NAP57; Nucleolar protein family A member 4; snoRNP protein DKC1 -
应用:
WB,IHC,IF -
反应种属:
Human,Mouse,Rat -
抗体类型:
Primary antibody -
Swissprot:
O60832 -
规格:
-
数量:
-+ -
说明书:
目录价¥2180
Rabbit Monoclonal Antibody to DKC1
Description |
|---|
Required for ribosome biogenesis and telomere maintenance. Probable catalytic subunit of H/ACA small nucleolar ribonucleoprotein (H/ACA snoRNP) complex, which catalyzes pseudouridylation of rRNA. This involves the isomerization of uridine such that the ribose is subsequently attached to C5, instead of the normal N1. |
Specification |
|
|---|---|
| Aliases | DKC1; NOLA4; H/ACA ribonucleoprotein complex subunit 4; CBF5 homolog; Dyskerin; Nopp140-associated protein of 57 kDa; Nucleolar protein NAP57; Nucleolar protein family A member 4; snoRNP protein DKC1 |
| Entrez GeneID | 1736 |
| Swissprot | O60832 |
| WB Predicted band size | Calculated MW: 58 kDa; Observed MW: 58 kDa |
| Host/Isotype | Rabbit IgG |
| Antibody Type | Primary antibody |
| Storage | Store at 4°C short term. Aliquot and store at -20°C long term. Avoid freeze/thaw cycles. |
| Species Reactivity | Human,Mouse,Rat |
| Immunogen | A synthetic peptide of human DKC1 |
| Formulation | Purified antibody in TBS with 0.05% sodium azide,0.05%BSA and 50% glycerol. |
Application |
|
|---|---|
| WB | 1/500-1/1000 |
| IHC | 1/50-1/100 |
| IF/ICC | 1/50-1/200 |
Product Image
- Western blot analysis of DKC1 in K562, C6, 3T3, Hela lysates using DKC1 antibody.
- Immunocytochemistry analysis of DKC1 (green) in K562 using DKC1 antibody,and DAPI(blue).
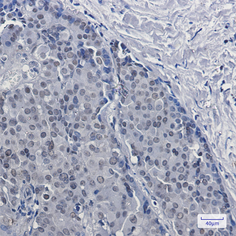
- Immunohistochemistry analysis of paraffin-embedded Human breast cancer tissue using DKC1 antibody. High-pressure and temperature Sodium Citrate pH 6.0 was used for antigen retrieval.
For Reseach Only
Application Key:WB - Western Blot | IHC - Immunohistochemistry | ICC - Immunocytochemistry | FCM - Flow Cytometry | ELISA - Enzyme-linked Immunosorbent Assay | IP - Immunoprecipitation
#P21319
相关产品

微信/QQ登录


首页
