提醒成功
搜索
Rabbit Monoclonal Antibody to DDX5
-
货号:
P21306 -
别名:
DDX5; G17P1; HELR; HLR1; Probable ATP-dependent RNA helicase DDX5; DEAD box protein 5; RNA helicase p68 -
应用:
WB,IP,IHC,IF -
反应种属:
Human,Mouse,Rat -
抗体类型:
Primary antibody -
Swissprot:
P17844 -
规格:
-
数量:
-+ -
说明书:
目录价¥2180
Rabbit Monoclonal Antibody to DDX5
Description |
|---|
RNA-dependent ATPase activity. The rate of ATP hydrolysis is highly stimulated by single-stranded RNA. May be involved in pre-mRNA splicing. |
Specification |
|
|---|---|
| Aliases | DDX5; G17P1; HELR; HLR1; Probable ATP-dependent RNA helicase DDX5; DEAD box protein 5; RNA helicase p68 |
| Entrez GeneID | 1655 |
| Swissprot | P17844 |
| WB Predicted band size | Calculated MW: 69 kDa; Observed MW: 69 kDa |
| Host/Isotype | Rabbit IgG |
| Antibody Type | Primary antibody |
| Storage | Store at 4°C short term. Aliquot and store at -20°C long term. Avoid freeze/thaw cycles. |
| Species Reactivity | Human,Mouse,Rat |
| Immunogen | A synthetic peptide of human DDX5 |
| Formulation | Purified antibody in TBS with 0.05% sodium azide,0.05%BSA and 50% glycerol. |
Application |
|
|---|---|
| WB | 1/500-1/1000 |
| IP | 1/10-1/20 |
| IHC | 1/50-1/100 |
| IF/ICC | 1/50-1/200 |
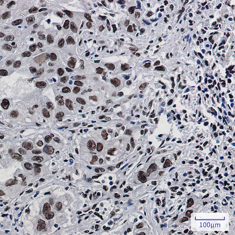
Product Image
- Western blot analysis of DDX5 in C6, 3T3, Hela lysates using DDX5 antibody.
- Immunocytochemistry analysis of DDX5 (green) in Hela using DDX5 antibody,and DAPI(blue)
- Immunohistochemistry analysis of paraffin-embedded Human lung cancer using DDX5 antibody.High-pressure and temperature Sodium Citrate pH 6.0 was used for antigen retrieval.
For Reseach Only
Application Key:WB - Western Blot | IHC - Immunohistochemistry | ICC - Immunocytochemistry | FCM - Flow Cytometry | ELISA - Enzyme-linked Immunosorbent Assay | IP - Immunoprecipitation
#P21306
相关产品

微信/QQ登录


首页
