提醒成功

搜索
Rabbit Monoclonal Antibody to DCAMKL1
-
货号:
P21301 -
别名:
doublecortin-like kinase 1; CL1; DCLK; CLICK1; DCDC3A; DCAMKL1 -
应用:
WB,IHC,IF -
反应种属:
Human,Mouse,Rat -
抗体类型:
Primary antibody -
Swissprot:
O15075 -
规格:
-
数量:
-+ -
说明书:
目录价¥2180

Rabbit Monoclonal Antibody to DCAMKL1
Description |
---|
Probable kinase that may be involved in a calcium-signaling pathway controlling neuronal migration in the developing brain. May also participate in functions of the mature nervous system. |
Specification |
|
---|---|
Aliases | doublecortin-like kinase 1; CL1; DCLK; CLICK1; DCDC3A; DCAMKL1 |
Entrez GeneID | 9201 |
Swissprot | O15075 |
WB Predicted band size | Calculated MW: 82 kDa; Observed MW: 82 kDa |
Host/Isotype | Rabbit IgG |
Antibody Type | Primary antibody |
Storage | Store at 4°C short term. Aliquot and store at -20°C long term. Avoid freeze/thaw cycles. |
Species Reactivity | Human,Mouse,Rat |
Immunogen | A synthetic peptide of human DCAMKL1 |
Formulation | Purified antibody in TBS with 0.05% sodium azide,0.05%BSA and 50% glycerol. |
Application |
|
---|---|
WB | 1/500-1/1000 |
IHC | 1/50-1/100 |
IF/ICC | 1/50-1/200 |
Product Image
- Western blot analysis of DCAMKL1 in mouse brain lysates using DCAMKL1 antibody.
- Western blot analysis of DCAMKL1 in rat Brain lysates using DCAMKL1 antibody
- Immunocytochemistry analysis of DCAMKL1 (green) in U87-MG using DCAMKL1 antibody,and DAPI(blue).
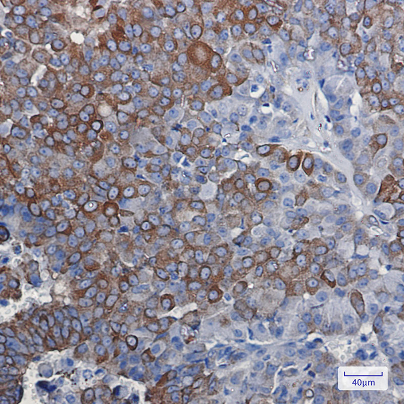
- Immunohistochemistry analysis of paraffin-embedded Human breast cancer using DCAMKL1 antibody.High-pressure and temperature Sodium Citrate pH 6.0 was used for antigen retrieval.
For Reseach Only
Application Key:WB - Western Blot | IHC - Immunohistochemistry | ICC - Immunocytochemistry | FCM - Flow Cytometry | ELISA - Enzyme-linked Immunosorbent Assay | IP - Immunoprecipitation
#P21301

相关产品


