提醒成功

搜索
Rabbit Monoclonal Antibody to DARPP32
-
货号:
P21296 -
别名:
PPP1R1B; DARPP32; Protein phosphatase 1 regulatory subunit 1B; DARPP-32; Dopamine- and cAMP-regulated neuronal phosphoprotein -
应用:
WB,IP,IHC -
反应种属:
Human,Mouse,Rat -
抗体类型:
Primary antibody -
Swissprot:
Q9UD71 -
规格:
-
数量:
-+ -
说明书:
目录价¥2180

Rabbit Monoclonal Antibody to DARPP32
Description |
---|
DARPP-32 a member of the protein phosphatase inhibitor 1 family. A dopamine- and cyclic AMP-regulated neuronal phosphoprotein. Both dopaminergic and glutamatergic (NMDA) receptor stimulation regulate the extent of DARPP32 phosphorylation, but in opposite directions. |
Specification |
|
---|---|
Aliases | PPP1R1B; DARPP32; Protein phosphatase 1 regulatory subunit 1B; DARPP-32; Dopamine- and cAMP-regulated neuronal phosphoprotein |
Entrez GeneID | 84152 |
Swissprot | Q9UD71 |
WB Predicted band size | Calculated MW: 23 kDa; Observed MW: 32 kDa |
Host/Isotype | Rabbit IgG |
Antibody Type | Primary antibody |
Storage | Store at 4°C short term. Aliquot and store at -20°C long term. Avoid freeze/thaw cycles. |
Species Reactivity | Human,Mouse,Rat |
Immunogen | A synthetic peptide of human DARPP32 |
Formulation | Purified antibody in TBS with 0.05% sodium azide,0.05%BSA and 50% glycerol. |
Application |
|
---|---|
WB | 1/500-1/1000 |
IP | 1/10-1/20 |
IHC | 1/50-1/100 |
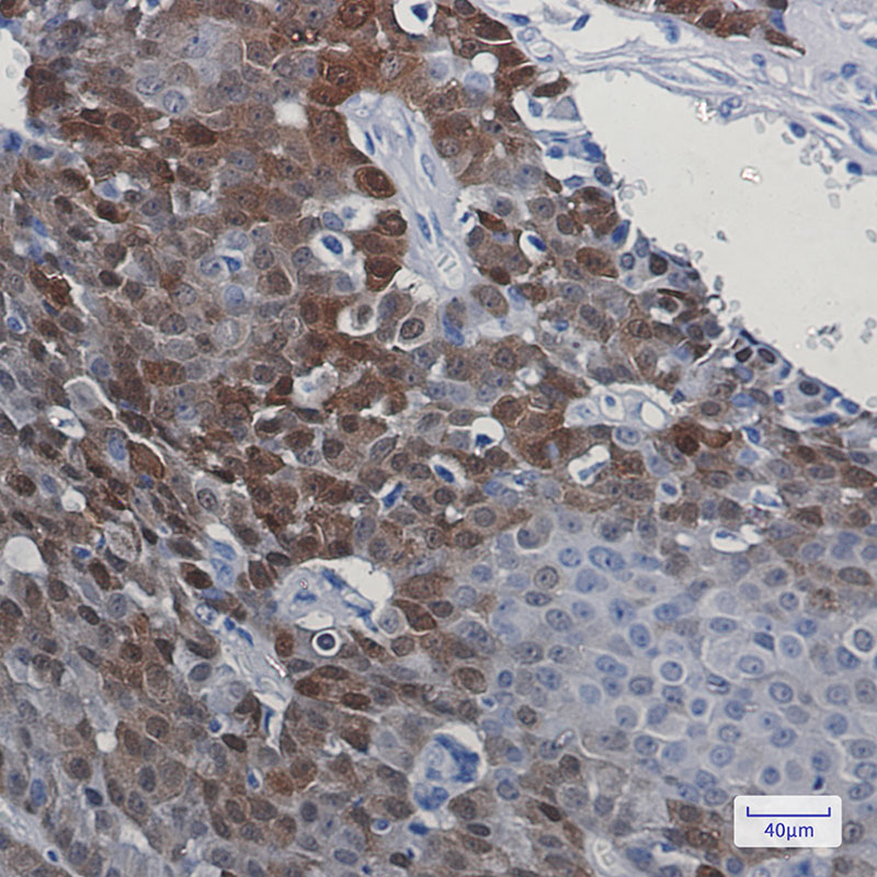
Product Image
- Western blot analysis of DARPP32 in mouse brain lysates using DARPP32 antibody.
- Western blot analysis of DARPP32 in rat Brain lysates using DARPP32 antibody.
- Immunohistochemistry analysis of paraffin-embedded Human breast cancer using DARPP32 antibody. High-pressure and temperature Sodium Citrate pH 6.0 was used for antigen retrieval.
For Reseach Only
Application Key:WB - Western Blot | IHC - Immunohistochemistry | ICC - Immunocytochemistry | FCM - Flow Cytometry | ELISA - Enzyme-linked Immunosorbent Assay | IP - Immunoprecipitation
#P21296

相关产品


