提醒成功

搜索
Rabbit Monoclonal Antibody to Cytokeratin 7
-
货号:
P21292 -
别名:
CK 7; CK-7; ck7; Cytokeratin 7; Cytokeratin-7; Cytokeratin7; D15Wsu77e; K2C7; K2C7_HUMAN; K7; Keratin 55k type ii cytoskeletal; Keratin 7; Keratin simple epithelial type 1 k7; Keratin type II cytoskeletal 7 -
应用:
WB,IP,IHC,IF -
反应种属:
Human -
抗体类型:
Primary antibody -
Swissprot:
P08729 -
规格:
-
数量:
-+ -
说明书:
目录价¥2180

Rabbit Monoclonal Antibody to Cytokeratin 7
Description |
---|
K7 a type II cytoskeletal keratin. The keratins are intermediate filament proteins responsible for the structural integrity of epithelial cells and are subdivided into cytokeratins and hair keratins. Phosphorylation of keratins at specific sites affects their organization, assembly dynamics, and their interaction with signaling molecules. Specifically expressed in the simple epithelia lining the cavities of the internal organs and in the gland ducts and blood vessels. |
Specification |
|
---|---|
Aliases | CK 7; CK-7; ck7; Cytokeratin 7; Cytokeratin-7; Cytokeratin7; D15Wsu77e; K2C7; K2C7_HUMAN; K7; Keratin 55k type ii cytoskeletal; Keratin 7; Keratin simple epithelial type 1 k7; Keratin type II cytoskeletal 7 |
Entrez GeneID | 3855 |
Swissprot | P08729 |
WB Predicted band size | Calculated MW: 51 kDa; Observed MW: 51 kDa |
Host/Isotype | Rabbit IgG |
Antibody Type | Primary antibody |
Storage | Store at 4°C short term. Aliquot and store at -20°C long term. Avoid freeze/thaw cycles. |
Species Reactivity | Human |
Immunogen | A synthetic peptide of human Cytokeratin 7 |
Formulation | Purified antibody in TBS with 0.05% sodium azide,0.05%BSA and 50% glycerol. |
Application |
|
---|---|
WB | 1/500-1/1000 |
IP | 1/10-1/20 |
IHC | 1/50-1/100 |
IF/ICC | 1/50-1/200 |
Product Image
- Western blot analysis of Cytokeratin 7 in Hela lysates using Cytokeratin 7 antibody.
- Immunocytochemistry analysis of Cytokeratin 7 (green) in Hela using Cytokeratin 7 antibody,and DAPI(blue)
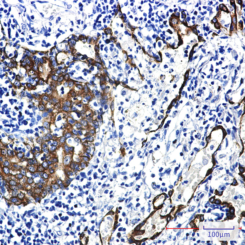
- Immunohistochemistry analysis of paraffin-embedded Human lung cancer using Cytokeratin 7 antibody.High-pressure and temperature Sodium Citrate pH 6.0 was used for antigen retrieval.
For Reseach Only
Application Key:WB - Western Blot | IHC - Immunohistochemistry | ICC - Immunocytochemistry | FCM - Flow Cytometry | ELISA - Enzyme-linked Immunosorbent Assay | IP - Immunoprecipitation
#P21292

相关产品


