提醒成功

搜索
Rabbit Monoclonal Antibody to Cytochrome P450 Reductase
-
货号:
P21285 -
别名:
CPR; CYPOR; P450R; por -
应用:
WB,IHC,IF -
反应种属:
Human,Mouse,Rat -
抗体类型:
Primary antibody -
Swissprot:
P16435 -
规格:
-
数量:
-+ -
说明书:
目录价¥2180

Rabbit Monoclonal Antibody to Cytochrome P450 Reductase
Description |
---|
This enzyme is required for electron transfer from NADP to cytochrome P450 in microsomes. It can also provide electron transfer to heme oxygenase and cytochrome B5. |
Specification |
|
---|---|
Aliases | CPR; CYPOR; P450R; por |
Entrez GeneID | 5447 |
Swissprot | P16435 |
WB Predicted band size | Calculated MW: 77 kDa; Observed MW: 77 kDa |
Host/Isotype | Rabbit IgG |
Antibody Type | Primary antibody |
Storage | Store at 4°C short term. Aliquot and store at -20°C long term. Avoid freeze/thaw cycles. |
Species Reactivity | Human,Mouse,Rat |
Immunogen | A synthetic peptide of human Cytochrome P450 Reductase |
Formulation | Purified antibody in TBS with 0.05% sodium azide,0.05%BSA and 50% glycerol. |
Application |
|
---|---|
WB | 1/500-1/1000 |
IHC | 1/50-1/100 |
IF/ICC | 1/50-1/200 |
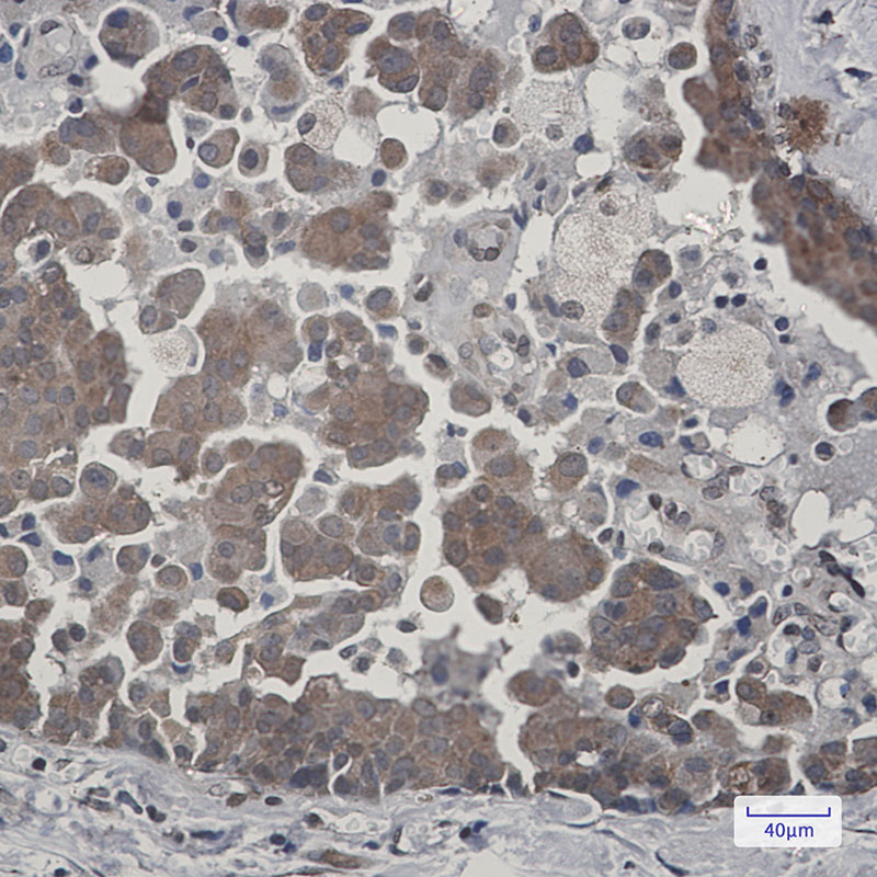
Product Image
- Western blot analysis of Cytochrome P450 Reductase in K562, rat Brain, C6, 3T3 lysates using Cytochrome P450 Reductase antibody.
- Immunocytochemistry analysis of Cytochrome P450 Reductase (green) in Hela using Cytochrome P450 0Reductase antibody,and DAPI(blue)
- Immunohistochemistry analysis of paraffin-embedded Human breast cancer using Cytochrome P450 Reductase antibody.High-pressure and temperature Sodium Citrate pH 6.0 was used for antigen retrieval.
For Reseach Only
Application Key:WB - Western Blot | IHC - Immunohistochemistry | ICC - Immunocytochemistry | FCM - Flow Cytometry | ELISA - Enzyme-linked Immunosorbent Assay | IP - Immunoprecipitation
#P21285

相关产品


