提醒成功

搜索
Rabbit Monoclonal Antibody to Cytochrome C Oxidase subunit Vic
-
货号:
P21282 -
别名:
cytochrome c oxidase subunit 6C -
应用:
WB,IHC -
反应种属:
Human,Mouse,Rat -
抗体类型:
Primary antibody -
Swissprot:
P09669 -
规格:
-
数量:
-+ -
说明书:
目录价¥2180

Rabbit Monoclonal Antibody to Cytochrome C Oxidase subunit Vic
Description |
---|
This protein is one of the nuclear-coded polypeptide chains of cytochrome c oxidase, the terminal oxidase in mitochondrial electron transport. |
Specification |
|
---|---|
Aliases | cytochrome c oxidase subunit 6C |
Entrez GeneID | 1345 |
Swissprot | P09669 |
WB Predicted band size | Calculated MW: 9 kDa; Observed MW: 12 kDa |
Host/Isotype | Rabbit IgG |
Antibody Type | Primary antibody |
Storage | Store at 4°C short term. Aliquot and store at -20°C long term. Avoid freeze/thaw cycles. |
Species Reactivity | Human,Mouse,Rat |
Immunogen | A synthetic peptide of human Cytochrome C Oxidase subunit Vic |
Formulation | Purified antibody in TBS with 0.05% sodium azide,0.05%BSA and 50% glycerol. |
Application |
|
---|---|
WB | 1/500-1/1000 |
IHC | 1/50-1/100 |
Product Image
- Western blot analysis of Cytochrome C Oxidase subunit Vic in rat heart lysates using Cytochrome C Oxidase subunit Vic antibody.
- Western blot analysis of Cytochrome C Oxidase subunit Vic in 3T3, Hela lysates using Cytochrome C Oxidase subunit Vic antibody.
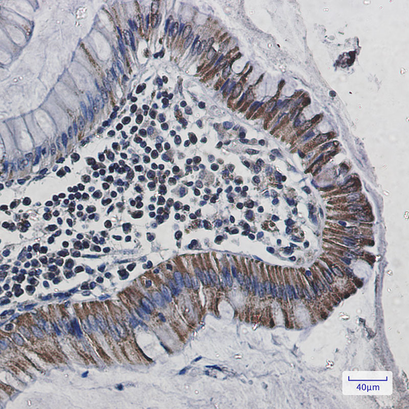
- Immunohistochemistry analysis of paraffin-embedded Human colon cancer using Cytochrome C Oxidase subunit Vic antibody. High-pressure and temperature Sodium Citrate pH 6.0 was used for antigen retrieval.
For Reseach Only
Application Key:WB - Western Blot | IHC - Immunohistochemistry | ICC - Immunocytochemistry | FCM - Flow Cytometry | ELISA - Enzyme-linked Immunosorbent Assay | IP - Immunoprecipitation
#P21282

相关产品


