提醒成功

搜索
Rabbit Monoclonal Antibody to Cystatin C
-
货号:
P21281 -
别名:
CST3; Cystatin-C; Cystatin-3; Gamma-trace; Neuroendocrine basic polypeptide; Post-gamma-globulin -
应用:
WB,IHC -
反应种属:
Human,Mouse,Rat -
抗体类型:
Primary antibody -
Swissprot:
P01034 -
规格:
-
数量:
-+ -
说明书:
目录价¥2180

Rabbit Monoclonal Antibody to Cystatin C
Description |
---|
Cystatin C is a 14 kDa member of the Cystatin superfamily of cysteine protease inhibitors. Most cell types secrete Cystatin C. Cystatin C inhibits cathepsins, and thereby may function as a tumor suppressor by inhibiting cathepsin mediated tumor cell invasion. In addition, this tumor suppressor function can also be attributed to Cystatin C's ability to antagonize TGF-β1 signaling. |
Specification |
|
---|---|
Aliases | CST3; Cystatin-C; Cystatin-3; Gamma-trace; Neuroendocrine basic polypeptide; Post-gamma-globulin |
Entrez GeneID | 1471 |
Swissprot | P01034 |
WB Predicted band size | Calculated MW: 16 kDa; Observed MW: 13 kDa |
Host/Isotype | Rabbit IgG |
Antibody Type | Primary antibody |
Storage | Store at 4°C short term. Aliquot and store at -20°C long term. Avoid freeze/thaw cycles. |
Species Reactivity | Human,Mouse,Rat |
Immunogen | Recombinant protein of human Cystatin C |
Formulation | Purified antibody in TBS with 0.05% sodium azide,0.05%BSA and 50% glycerol. |
Application |
|
---|---|
WB | 1/500-1/1000 |
IHC | 1/50-1/100 |
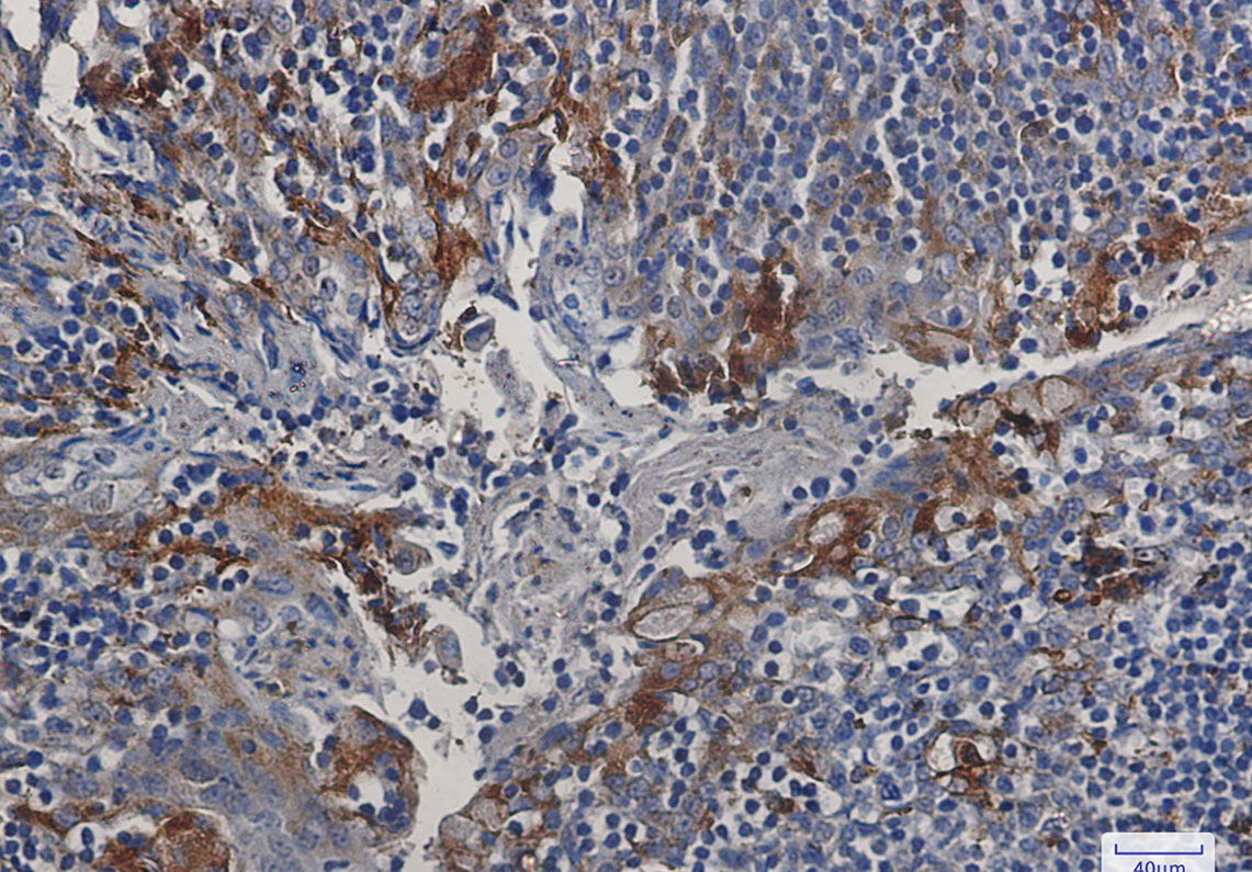
Product Image
- Western blot analysis of Cystatin C in rat lung lysates using Cystatin C antibody.
- Western blot analysis of Cystatin C in K562, 3T3 lysates using Cystatin C antibody.
- Immunohistochemistry analysis of paraffin-embedded Human tonsil using Cystatin C antibody. High-pressure and temperature Sodium Citrate pH 6.0 was used for antigen retrieval.
For Reseach Only
Application Key:WB - Western Blot | IHC - Immunohistochemistry | ICC - Immunocytochemistry | FCM - Flow Cytometry | ELISA - Enzyme-linked Immunosorbent Assay | IP - Immunoprecipitation
#P21281

相关产品


