提醒成功

搜索
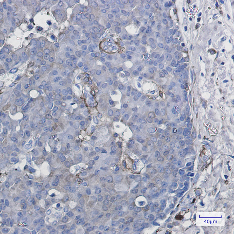
Rabbit Monoclonal Antibody to Cytochrome P450 1B1
-
货号:
P21280 -
别名:
CYP1B1; Cytochrome P450 1B1; CYPIB1 -
应用:
WB,IHC -
反应种属:
Human,Rat -
抗体类型:
Primary antibody -
Swissprot:
Q16678 -
规格:
-
数量:
-+ -
说明书:
目录价¥2180

Rabbit Monoclonal Antibody to Cytochrome P450 1B1
Description |
---|
Cytochromes P450 are a group of heme-thiolate monooxygenases. In liver microsomes, this enzyme is involved in an NADPH-dependent electron transport pathway. It oxidizes a variety of structurally unrelated compounds, including steroids, fatty acids, and xenobiotics. |
Specification |
|
---|---|
Aliases | CYP1B1; Cytochrome P450 1B1; CYPIB1 |
Entrez GeneID | 1545 |
Swissprot | Q16678 |
WB Predicted band size | Calculated MW: 61 kDa; Observed MW: 61 kDa |
Host/Isotype | Rabbit IgG |
Antibody Type | Primary antibody |
Storage | Store at 4°C short term. Aliquot and store at -20°C long term. Avoid freeze/thaw cycles. |
Species Reactivity | Human,Rat |
Immunogen | Recombinant protein of human CYP1B1 |
Formulation | Purified antibody in TBS with 0.05% sodium azide,0.05%BSA and 50% glycerol. |
Application |
|
---|---|
WB | 1/500-1/1000 |
IHC | 1/50-1/100 |
Product Image
For Reseach Only
Application Key:WB - Western Blot | IHC - Immunohistochemistry | ICC - Immunocytochemistry | FCM - Flow Cytometry | ELISA - Enzyme-linked Immunosorbent Assay | IP - Immunoprecipitation
#P21280

相关产品


