提醒成功

搜索
Rabbit Monoclonal Antibody to Cyclin E2
-
货号:
P21273 -
别名:
CCNE2; G1/S-specific cyclin-E2 -
应用:
WB,IHC,IF -
反应种属:
Human -
抗体类型:
Primary antibody -
Swissprot:
O96020 -
规格:
-
数量:
-+ -
说明书:
目录价¥2180

Rabbit Monoclonal Antibody to Cyclin E2
Description |
---|
The human Cyclin E2 gene encodes a 404 amino acid protein that is most closely related to Cyclin E. Cyclin E2 mRNA levels peaks at the G1 / S transition. Cyclin E2 associates with Cdk2 in a functional kinase complex that is inhibited by both p27 (Kip1) and p21 (Cip1). Cyclin E2 / Cdk2 phosphorylates histone H1 in vitro. G1 cyclin E controls the initiation of DNA synthesis by activating CDK2. Abnormally high levels of cyclin E expression have frequently been observed in human cancers. |
Specification |
|
---|---|
Aliases | CCNE2; G1/S-specific cyclin-E2 |
Entrez GeneID | 9134 |
Swissprot | O96020 |
WB Predicted band size | Calculated MW: 47 kDa; Observed MW: 47 kDa |
Host/Isotype | Rabbit IgG |
Antibody Type | Primary antibody |
Storage | Store at 4°C short term. Aliquot and store at -20°C long term. Avoid freeze/thaw cycles. |
Species Reactivity | Human |
Immunogen | A synthetic peptide of human Cyclin E2 |
Formulation | Purified antibody in TBS with 0.05% sodium azide,0.05%BSA and 50% glycerol. |
Application |
|
---|---|
WB | 1/500-1/1000 |
IHC | 1/50-1/100 |
IF/ICC | 1/50-1/200 |
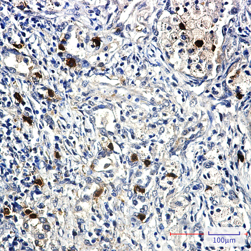
Product Image
- Western blot analysis of Cyclin E2 in Jurkat lysates using Cyclin E2 antibody.
- Immunocytochemistry analysis of Cyclin E2 (green) in MCF-7 using Cyclin E2 antibody,and DAPI(blue)
- Immunohistochemistry analysis of paraffin-embedded Human lung cancer using Cyclin E2 antibody.High-pressure and temperature Sodium Citrate pH 6.0 was used for antigen retrieval.
For Reseach Only
Application Key:WB - Western Blot | IHC - Immunohistochemistry | ICC - Immunocytochemistry | FCM - Flow Cytometry | ELISA - Enzyme-linked Immunosorbent Assay | IP - Immunoprecipitation
#P21273

相关产品


