提醒成功
搜索
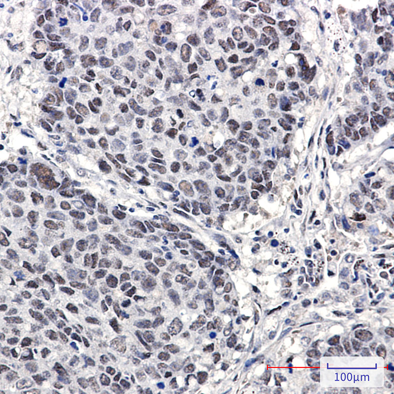
Rabbit Monoclonal Antibody to Cullin 4A/4B
-
货号:
P21265 -
别名:
CUL4B; KIAA0695; Cullin-4B; CUL-4B -
应用:
WB,IHC -
反应种属:
Human,Rat,Hamster -
抗体类型:
Primary antibody -
Swissprot:
Q13620 -
规格:
-
数量:
-+ -
说明书:
目录价¥2180
Rabbit Monoclonal Antibody to Cullin 4A/4B
Description |
|---|
Core component of multiple cullin-RING-based E3 ubiquitin-protein ligase complexes which mediate the ubiquitination and subsequent proteasomal degradation of target proteins. The functional specificity of the E3 ubiquitin-protein ligase complex depends on the variable substrate recognition subunit. CUL4B may act within the complex as a scaffold protein, contributing to catalysis through positioning of the substrate and the ubiquitin-conjugating enzyme. Plays a role as part of the E3 ubiquitin-protein ligase complex in polyubiquitination of CDT1, histone H2A, histone H3 and histone H4 in response to radiation-induced DNA damage. Targeted to UV damaged chromatin by DDB2 and may be important for DNA repair and DNA replication. Required for ubiquitination of cyclin E, and consequently, normal G1 cell cycle progression. Regulates the mammalian target-of-rapamycin (mTOR) pathway involved in control of cell growth, size and metabolism. Specific CUL4B regulation of the mTORC1-mediated pathway is dependent upon 26S proteasome function and requires interaction between CUL4B and MLST8. |
Specification |
|
|---|---|
| Aliases | CUL4B; KIAA0695; Cullin-4B; CUL-4B |
| Entrez GeneID | 8450 |
| Swissprot | Q13620 |
| WB Predicted band size | Calculated MW: 104 kDa; Observed MW: 88,104 kDa |
| Host/Isotype | Rabbit IgG |
| Antibody Type | Primary antibody |
| Storage | Store at 4°C short term. Aliquot and store at -20°C long term. Avoid freeze/thaw cycles. |
| Species Reactivity | Human,Rat,Hamster |
| Immunogen | A synthetic peptide of human Cullin 4B |
| Formulation | Purified antibody in TBS with 0.05% sodium azide,0.05%BSA and 50% glycerol. |
Application |
|
|---|---|
| WB | 1/500-1/1000 |
| IHC | 1/50-1/100 |
Product Image
For Reseach Only
Application Key:WB - Western Blot | IHC - Immunohistochemistry | ICC - Immunocytochemistry | FCM - Flow Cytometry | ELISA - Enzyme-linked Immunosorbent Assay | IP - Immunoprecipitation
#P21265
相关产品

微信/QQ登录


首页
