提醒成功

搜索
Rabbit Monoclonal Antibody to Cpn10
-
货号:
P21246 -
别名:
HSPE1; 10 kDa heat shock protein; mitochondrial; Hsp10; 10 kDa chaperonin; Chaperonin 10; CPN10; Early-pregnancy factor; EPF -
应用:
WB,IP,IHC -
反应种属:
Human,Mouse,Rat -
抗体类型:
Primary antibody -
Swissprot:
P61604 -
规格:
-
数量:
-+ -
说明书:
目录价¥2180

Rabbit Monoclonal Antibody to Cpn10
Description |
---|
Eukaryotic CPN10 homolog which is essential for mitochondrial protein biogenesis, together with CPN60. Binds to CPN60 in the presence of Mg-ATP and suppresses the ATPase activity of the latter. |
Specification |
|
---|---|
Aliases | HSPE1; 10 kDa heat shock protein; mitochondrial; Hsp10; 10 kDa chaperonin; Chaperonin 10; CPN10; Early-pregnancy factor; EPF |
Entrez GeneID | 3336 |
Swissprot | P61604 |
WB Predicted band size | Calculated MW: 11 kDa; Observed MW: 11 kDa |
Host/Isotype | Rabbit IgG |
Antibody Type | Primary antibody |
Storage | Store at 4°C short term. Aliquot and store at -20°C long term. Avoid freeze/thaw cycles. |
Species Reactivity | Human,Mouse,Rat |
Immunogen | A synthetic peptide of human Cpn10 |
Formulation | Purified antibody in TBS with 0.05% sodium azide,0.05%BSA and 50% glycerol. |
Application |
|
---|---|
WB | 1/500-1/1000 |
IP | 1/10-1/20 |
IHC | 1/50-1/100 |
Product Image
- Western blot analysis of Cpn10 in mouse liver, 3T3, rat kidney lysates using Cpn10 antibody.
- Western blot analysis of Cpn10 in K562, Hela lysates using Cpn10 antibody.
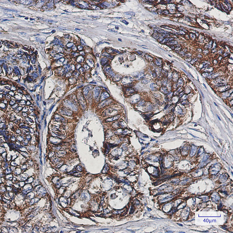
- Immunohistochemistry analysis of paraffin-embedded Human colon cancer using Cpn10 antibody. High-pressure and temperature Sodium Citrate pH 6.0 was used for antigen retrieval.
For Reseach Only
Application Key:WB - Western Blot | IHC - Immunohistochemistry | ICC - Immunocytochemistry | FCM - Flow Cytometry | ELISA - Enzyme-linked Immunosorbent Assay | IP - Immunoprecipitation
#P21246

相关产品


