提醒成功
搜索
Rabbit Monoclonal Antibody to Cortactin
-
货号:
P21240 -
别名:
CTTN; EMS1; Src substrate cortactin; Amplaxin; Oncogene EMS1 -
应用:
WB,IP,IHC,IF -
反应种属:
Human,Mouse,Rat -
抗体类型:
Primary antibody -
Swissprot:
Q14247 -
规格:
-
数量:
-+ -
说明书:
目录价¥2180
Rabbit Monoclonal Antibody to Cortactin
Description |
|---|
Cortactin a cytoskeletal protein that that is involved in coordinating actin reorganization during cell movement. Localizes at the leading edge of lamellipodia during cell migration. Its amino-terminal acidic domain associates with the Arp2/3 and WASP complex at F-actin branches. |
Specification |
|
|---|---|
| Aliases | CTTN; EMS1; Src substrate cortactin; Amplaxin; Oncogene EMS1 |
| Entrez GeneID | 2017 |
| Swissprot | Q14247 |
| WB Predicted band size | Calculated MW: 62 kDa; Observed MW: 80-85 kDa |
| Host/Isotype | Rabbit IgG |
| Antibody Type | Primary antibody |
| Storage | Store at 4°C short term. Aliquot and store at -20°C long term. Avoid freeze/thaw cycles. |
| Species Reactivity | Human,Mouse,Rat |
| Immunogen | A synthetic peptide of human Cortactin |
| Formulation | Purified antibody in TBS with 0.05% sodium azide,0.05%BSA and 50% glycerol. |
Application |
|
|---|---|
| WB | 1/500-1/1000 |
| IP | 1/10-1/20 |
| IHC | 1/50-1/100 |
| IF/ICC | 1/50-1/200 |
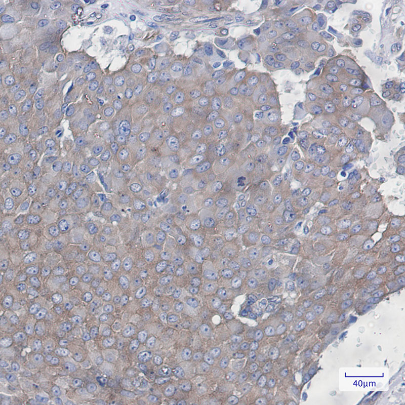
Product Image
- Western blot analysis of Cortactin in K562, rat Brain, C6, 3T3, Hela lysates using Cortactin antibody.
- Immunocytochemistry analysis of Cortactin(green) in Hela using Cortactin antibody,and DAPI(blue)
- Immunohistochemistry analysis of paraffin-embedded Human breast cancer using Cortactin antibody.High-pressure and temperature Sodium Citrate pH 6.0 was used for antigen retrieval.
For Reseach Only
Application Key:WB - Western Blot | IHC - Immunohistochemistry | ICC - Immunocytochemistry | FCM - Flow Cytometry | ELISA - Enzyme-linked Immunosorbent Assay | IP - Immunoprecipitation
#P21240
相关产品

微信/QQ登录


首页
