提醒成功
搜索
Rabbit Monoclonal Antibody to CLIC4
-
货号:
P21232 -
别名:
CLIC4; Chloride intracellular channel protein 4; Intracellular chloride ion channel protein p64H1 -
应用:
WB,IP,IHC,IF -
反应种属:
Human,Mouse,Rat -
抗体类型:
Primary antibody -
Swissprot:
Q9Y696 -
规格:
-
数量:
-+ -
说明书:
目录价¥2180
Rabbit Monoclonal Antibody to CLIC4
Description |
|---|
Can insert into membranes and form poorly selective ion channels that may also transport chloride ions. Channel activity depends on the pH. Membrane insertion seems to be redox-regulated and may occur only under oxydizing conditions. Promotes cell-surface expression of HRH3. Has alternate cellular functions like a potential role in angiogenesis or in maintaining apical-basolateral membrane polarity during mitosis and cytokinesis. Could also promote endothelial cell proliferation and regulate endothelial morphogenesis (tubulogenesis). |
Specification |
|
|---|---|
| Aliases | CLIC4; Chloride intracellular channel protein 4; Intracellular chloride ion channel protein p64H1 |
| Entrez GeneID | 25932 |
| Swissprot | Q9Y696 |
| WB Predicted band size | Calculated MW: 29 kDa; Observed MW: 29 kDa |
| Host/Isotype | Rabbit IgG |
| Antibody Type | Primary antibody |
| Storage | Store at 4°C short term. Aliquot and store at -20°C long term. Avoid freeze/thaw cycles. |
| Species Reactivity | Human,Mouse,Rat |
| Immunogen | A synthetic peptide of human CLIC4 |
| Formulation | Purified antibody in TBS with 0.05% sodium azide,0.05%BSA and 50% glycerol. |
Application |
|
|---|---|
| WB | 1/500-1/1000 |
| IP | 1/10-1/20 |
| IHC | 1/50-1/100 |
| IF/ICC | 1/50-1/200 |
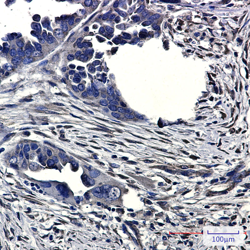
Product Image
- Western blot analysis of CLIC4 in rat Brain, C6, 3T3, Hela lysates using CLIC4 antibody.
- Immunocytochemistry analysis of CLIC4(green) in Hela using CLIC4 antibody,and DAPI(blue)
- Immunohistochemistry analysis of paraffin-embedded Human Cholangiocarcinoma using CLIC4 antibody. High-pressure and temperature Sodium Citrate pH 6.0 was used for antigen retrieval.
For Reseach Only
Application Key:WB - Western Blot | IHC - Immunohistochemistry | ICC - Immunocytochemistry | FCM - Flow Cytometry | ELISA - Enzyme-linked Immunosorbent Assay | IP - Immunoprecipitation
#P21232
相关产品

微信/QQ登录


首页
