提醒成功
搜索
Rabbit Monoclonal Antibody to CIP4
-
货号:
P21228 -
别名:
STP; CIP4; HSTP; STOT; TRIP-10 -
应用:
WB,IHC -
反应种属:
Human,Mouse -
抗体类型:
Primary antibody -
Swissprot:
Q15642 -
规格:
-
数量:
-+ -
说明书:
目录价¥2180
Rabbit Monoclonal Antibody to CIP4
Description |
|---|
Required for translocation of GLUT4 to the plasma membrane in response to insulin signaling . Required to coordinate membrane tubulation with reorganization of the actin cytoskeleton during endocytosis. Binds to lipids such as phosphatidylinositol 4,5-bisphosphate and phosphatidylserine and promotes membrane invagination and the formation of tubules. Also promotes CDC42-induced actin polymerization by recruiting WASL/N-WASP which in turn activates the Arp2/3 complex. Actin polymerization may promote the fission of membrane tubules to form endocytic vesicles. Required for the formation of podosomes, actin-rich adhesion structures specific to monocyte-derived cells. May be required for the lysosomal retention of FASLG/FASL. |
Specification |
|
|---|---|
| Aliases | STP; CIP4; HSTP; STOT; TRIP-10 |
| Entrez GeneID | 9322 |
| Swissprot | Q15642 |
| WB Predicted band size | Calculated MW: 68 kDa; Observed MW: 80 kDa |
| Host/Isotype | Rabbit IgG |
| Antibody Type | Primary antibody |
| Storage | Store at 4°C short term. Aliquot and store at -20°C long term. Avoid freeze/thaw cycles. |
| Species Reactivity | Human,Mouse |
| Immunogen | A synthetic peptide of human Cip4 |
| Formulation | Purified antibody in TBS with 0.05% sodium azide,0.05%BSA and 50% glycerol. |
Application |
|
|---|---|
| WB | 1/500-1/1000 |
| IHC | 1/50-1/100 |
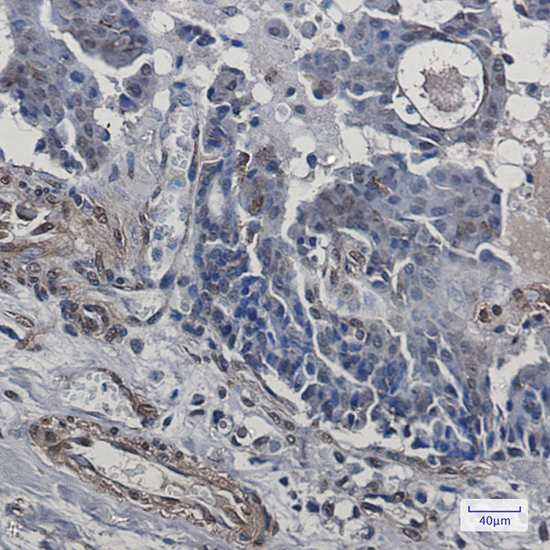
Product Image
For Reseach Only
Application Key:WB - Western Blot | IHC - Immunohistochemistry | ICC - Immunocytochemistry | FCM - Flow Cytometry | ELISA - Enzyme-linked Immunosorbent Assay | IP - Immunoprecipitation
#P21228
相关产品

微信/QQ登录


首页
