提醒成功
搜索
Rabbit Monoclonal Antibody to CD79a
-
货号:
P21199 -
别名:
CD79A; IGA; MB1; B-cell antigen receptor complex-associated protein alpha chain; Ig-alpha; MB-1 membrane glycoprotein; Membrane-bound immunoglobulin-associated protein; Surface IgM-associated protein; CD antigen CD79a -
应用:
WB,IHC,IF -
反应种属:
Human -
抗体类型:
Primary antibody -
Swissprot:
P11912 -
规格:
-
数量:
-+ -
说明书:
目录价¥2180
Rabbit Monoclonal Antibody to CD79a
Description |
|---|
Antigen binding precedes formation of the CD79A and CD79B heterodimer and subsequent activation of receptor associated kinases. CD79A is a marker for B-lineage lymphoblastic leukemia; mutations in the corresponding mb-1 gene are responsible for abnormally low levels of functional B cell receptors in some cases of chronic B-cell lymphocytic leukemia. |
Specification |
|
|---|---|
| Aliases | CD79A; IGA; MB1; B-cell antigen receptor complex-associated protein alpha chain; Ig-alpha; MB-1 membrane glycoprotein; Membrane-bound immunoglobulin-associated protein; Surface IgM-associated protein; CD antigen CD79a |
| Entrez GeneID | 973 |
| Swissprot | P11912 |
| WB Predicted band size | Calculated MW: 25 kDa; Observed MW: 45-55 kDa |
| Host/Isotype | Rabbit IgG |
| Antibody Type | Primary antibody |
| Storage | Store at 4°C short term. Aliquot and store at -20°C long term. Avoid freeze/thaw cycles. |
| Species Reactivity | Human |
| Immunogen | A synthetic peptide of human CD79a |
| Formulation | Purified antibody in TBS with 0.05% sodium azide,0.05%BSA and 50% glycerol. |
Application |
|
|---|---|
| WB | 1/500-1/1000 |
| IHC | 1/50-1/100 |
| IF/ICC | 1/50-1/200 |
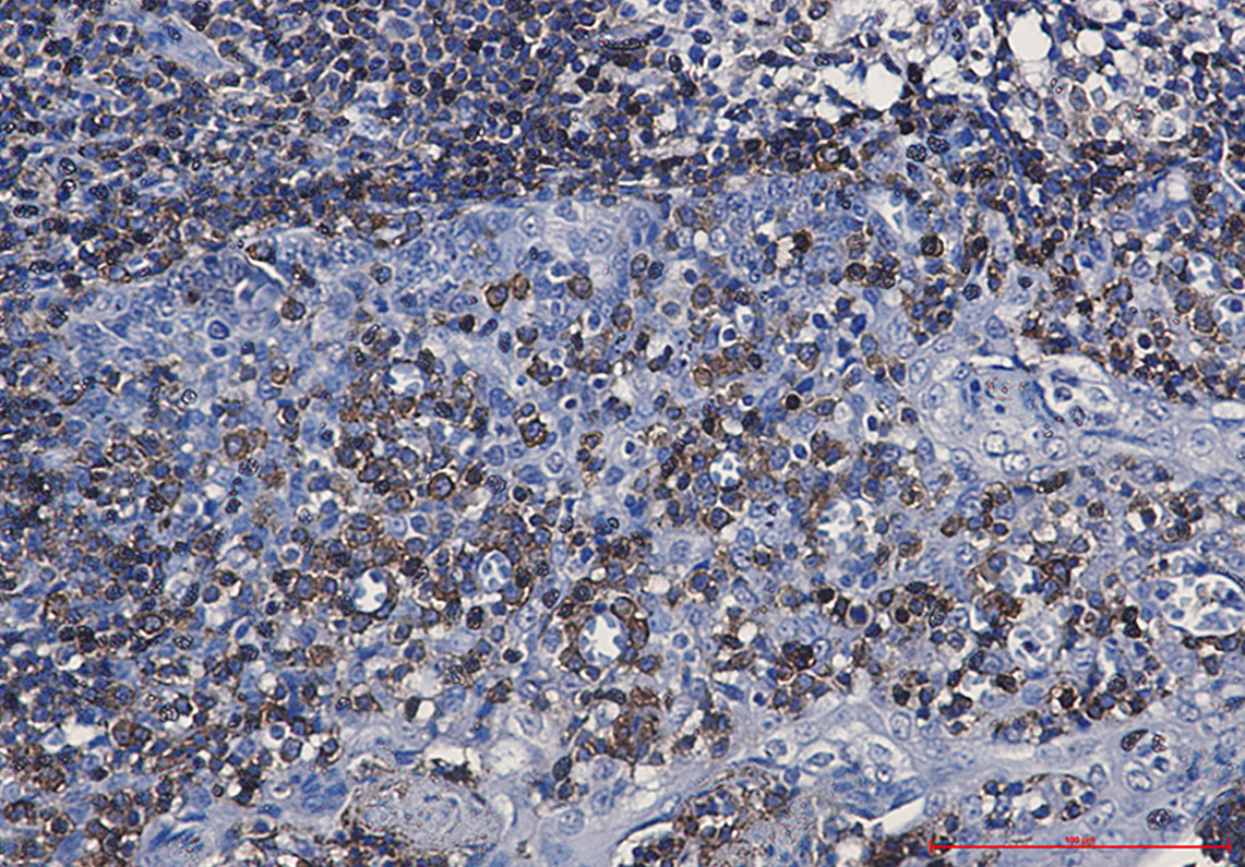
Product Image
- Western blot analysis of CD79a in Jurkat lysates using CD79a antibody.
- Immunocytochemistry analysis of CD79a (green) in HL-60 using CD79a antibody,and DAPI(blue).
- Immunohistochemistry analysis of paraffin-embedded Human tonsil using CD79a antibody. High-pressure and temperature Sodium Citrate pH 6.0 was used for antigen retrieval.
For Reseach Only
Application Key:WB - Western Blot | IHC - Immunohistochemistry | ICC - Immunocytochemistry | FCM - Flow Cytometry | ELISA - Enzyme-linked Immunosorbent Assay | IP - Immunoprecipitation
#P21199
相关产品

微信/QQ登录


首页
