提醒成功

搜索
Rabbit Monoclonal Antibody to CD44
-
货号:
P21195 -
别名:
CD44; LHR; MDU2; MDU3; MIC4; CD44 antigen; CDw44; Epican; Extracellular matrix receptor III; ECMR-III; GP90 lymphocyte homing/adhesion receptor; HUTCH-I; Heparan sulfate proteoglycan; Hermes antigen; Hyaluronate receptor; Phagocytic glycopr -
应用:
WB,IHC -
反应种属:
Human -
抗体类型:
Primary antibody -
Swissprot:
P16070 -
规格:
-
数量:
-+ -
说明书:
目录价¥2180

Rabbit Monoclonal Antibody to CD44
Description |
---|
Receptor for hyaluronic acid (HA). Mediates cell-cell and cell-matrix interactions through its affinity for HA, and possibly also through its affinity for other ligands such as osteopontin, collagens, and matrix metalloproteinases (MMPs). Adhesion with HA plays an important role in cell migration, tumor growth and progression. |
Specification |
|
---|---|
Aliases | CD44; LHR; MDU2; MDU3; MIC4; CD44 antigen; CDw44; Epican; Extracellular matrix receptor III; ECMR-III; GP90 lymphocyte homing/adhesion receptor; HUTCH-I; Heparan sulfate proteoglycan; Hermes antigen; Hyaluronate receptor; Phagocytic glycopr |
Entrez GeneID | 960 |
Swissprot | P16070 |
WB Predicted band size | Calculated MW: 82 kDa; Observed MW: 82 kDa |
Host/Isotype | Rabbit IgG |
Antibody Type | Primary antibody |
Storage | Store at 4°C short term. Aliquot and store at -20°C long term. Avoid freeze/thaw cycles. |
Species Reactivity | Human |
Immunogen | A synthetic peptide of human CD44 |
Formulation | Purified antibody in TBS with 0.05% sodium azide,0.05%BSA and 50% glycerol. |
Application |
|
---|---|
WB | 1/500-1/1000 |
IHC | 1/50-1/100 |
Product Image
- Western blot analysis of CD44 in Hela lysates using CD44 antibody.
- Western blot analysis of CD44 in Hela lysates using CD44 antibody.
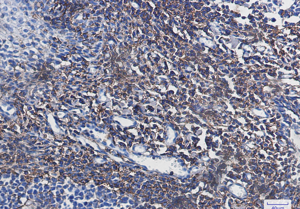
- Immunohistochemistry analysis of paraffin-embedded Human tonsil using CD44 antibody. High-pressure and temperature Sodium Citrate pH 6.0 was used for antigen retrieval.
For Reseach Only
Application Key:WB - Western Blot | IHC - Immunohistochemistry | ICC - Immunocytochemistry | FCM - Flow Cytometry | ELISA - Enzyme-linked Immunosorbent Assay | IP - Immunoprecipitation
#P21195

相关产品


