提醒成功

搜索
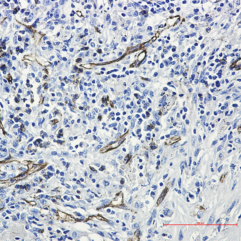
Rabbit Monoclonal Antibody to CD31
-
货号:
P21188 -
别名:
Platelet endothelial cell adhesion molecule; PECAM-1; EndoCAM; GPIIA'; PECA1; CD antigen CD31 -
应用:
WB,IHC -
反应种属:
Human -
抗体类型:
Primary antibody -
Swissprot:
P16284 -
规格:
-
数量:
-+ -
说明书:
目录价¥2180

Rabbit Monoclonal Antibody to CD31
Description |
---|
PECAM-1 a cell adhesion molecule expressed on platelets and at endothelial cell intercellular junctions. Plays a role in modulation of integrin-mediated cell adhesion, transendothelial migration, angiogenesis, apoptosis, cell migration, negative regulation of immune cell signaling, autoimmunity, macrophage phagocytosis, IgE-mediated anaphylaxis and thrombosis. Undergoes alternative splicing, generating multiple isoforms in vascular beds of various tissues. |
Specification |
|
---|---|
Aliases | Platelet endothelial cell adhesion molecule; PECAM-1; EndoCAM; GPIIA'; PECA1; CD antigen CD31 |
Entrez GeneID | 5175 |
Swissprot | P16284 |
WB Predicted band size | Calculated MW: 83 kDa; Observed MW: 130 kDa |
Host/Isotype | Rabbit IgG |
Antibody Type | Primary antibody |
Storage | Store at 4°C short term. Aliquot and store at -20°C long term. Avoid freeze/thaw cycles. |
Species Reactivity | Human |
Immunogen | A synthetic peptide of human CD31 |
Formulation | Purified antibody in TBS with 0.05% sodium azide,0.05%BSA and 50% glycerol. |
Application |
|
---|---|
WB | 1/500-1/1000 |
IHC | 1/50-1/100 |
Product Image
For Reseach Only
Application Key:WB - Western Blot | IHC - Immunohistochemistry | ICC - Immunocytochemistry | FCM - Flow Cytometry | ELISA - Enzyme-linked Immunosorbent Assay | IP - Immunoprecipitation
#P21188

相关产品


