提醒成功

搜索
Rabbit Monoclonal Antibody to CD272
-
货号:
P21184 -
别名:
A630002H24; B-and T-lymphocyte-associated protein -
应用:
WB,IP,IHC -
反应种属:
Human,Mouse -
抗体类型:
Primary antibody -
Swissprot:
Q7TSA3 -
规格:
-
数量:
-+ -
说明书:
目录价¥2180

Rabbit Monoclonal Antibody to CD272
Description |
---|
Lymphocyte inhibitory receptor which inhibits lymphocytes during immune response. |
Specification |
|
---|---|
Aliases | A630002H24; B-and T-lymphocyte-associated protein |
Entrez GeneID | 208154 |
Swissprot | Q7TSA3 |
WB Predicted band size | Calculated MW: 34 kDa; Observed MW: 55-80 kDa |
Host/Isotype | Rabbit IgG |
Antibody Type | Primary antibody |
Storage | Store at 4°C short term. Aliquot and store at -20°C long term. Avoid freeze/thaw cycles. |
Species Reactivity | Human,Mouse |
Immunogen | Recombinant protein of mouse CD272 |
Formulation | Purified antibody in TBS with 0.05% sodium azide,0.05%BSA and 50% glycerol. |
Application |
|
---|---|
WB | 1/500-1/1000 |
IP | 1/10-1/20 |
IHC | 1/50-1/100 |
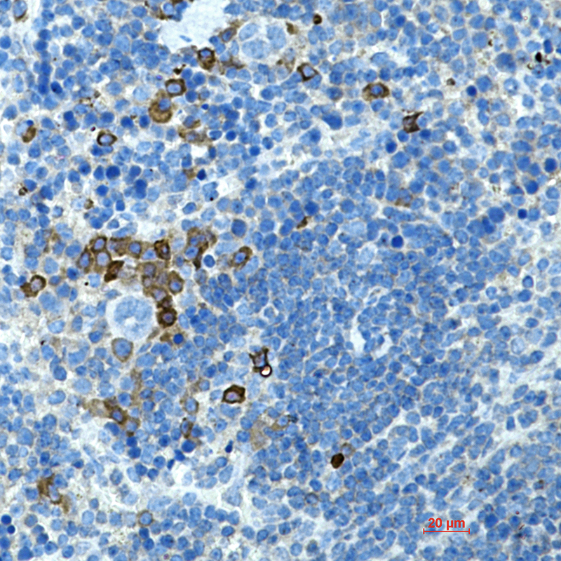
Product Image
- Western blot analysis of CD272/BTLA in 3T3 lysates using CD272/BTLA antibody.
- Western blot analysis of CD272/BTLA in K562, Hela lysates using CD272/BTLA antibody
- Immunohistochemistry analysis of paraffin-embedded mouse spleen using CD272 antibody.High-pressure and temperature Sodium Citrate pH 6.0 was used for antigen retrieval.
For Reseach Only
Application Key:WB - Western Blot | IHC - Immunohistochemistry | ICC - Immunocytochemistry | FCM - Flow Cytometry | ELISA - Enzyme-linked Immunosorbent Assay | IP - Immunoprecipitation
#P21184

相关产品


