提醒成功
搜索
Rabbit Monoclonal Antibody to Caveolin 2
-
货号:
P21171 -
别名:
CAV2; Caveolae protein 20 Kd; Caveolin 2; Caveolin 2 isoform a and b; Caveolin-2 -
应用:
WB,IP,IHC,IF -
反应种属:
Human -
抗体类型:
Primary antibody -
Swissprot:
P51636 -
规格:
-
数量:
-+ -
说明书:
目录价¥2180
Rabbit Monoclonal Antibody to Caveolin 2
Description |
|---|
May act as a scaffolding protein within caveolar membranes. Interacts directly with G-protein alpha subunits and can functionally regulate their activity. Acts as an accessory protein in conjunction with CAV1 in targeting to lipid rafts and driving caveolae formation. |
Specification |
|
|---|---|
| Aliases | CAV2; Caveolae protein 20 Kd; Caveolin 2; Caveolin 2 isoform a and b; Caveolin-2 |
| Entrez GeneID | 858 |
| Swissprot | P51636 |
| WB Predicted band size | Calculated MW: 18 kDa; Observed MW: 18 kDa |
| Host/Isotype | Rabbit IgG |
| Antibody Type | Primary antibody |
| Storage | Store at 4°C short term. Aliquot and store at -20°C long term. Avoid freeze/thaw cycles. |
| Species Reactivity | Human |
| Immunogen | A synthetic peptide of human Caveolin-2 |
| Formulation | Purified antibody in TBS with 0.05% sodium azide,0.05%BSA and 50% glycerol. |
Application |
|
|---|---|
| WB | 1/500-1/1000 |
| IP | 1/10-1/20 |
| IHC | 1/50-1/100 |
| IF/ICC | 1/50-1/200 |
Product Image
- Western blot analysis of Caveolin2 in Hela, CHO-K1 lysates using Caveolin2 antibody.
- Immunocytochemistry analysis of Caveolin 2 (green) in A549 using Caveolin 2 antibody,and DAPI(blue).
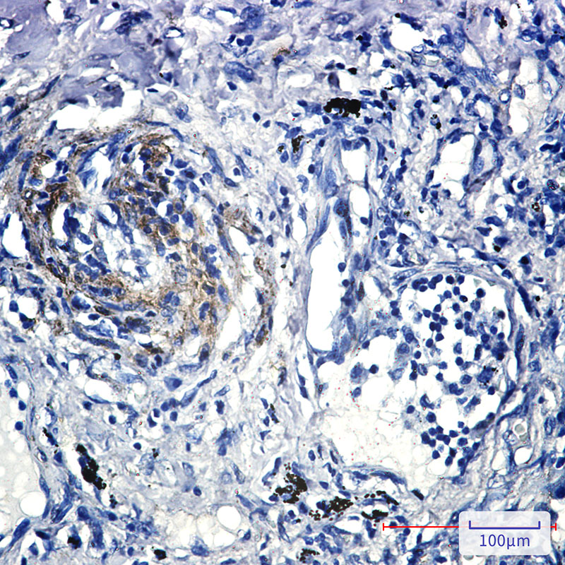
- Immunohistochemistry analysis of paraffin-embedded Human lung cancer tissue using Caveolin2 antibody. High-pressure and temperature Sodium Citrate pH 6.0 was used for antigen retrieval.
For Reseach Only
Application Key:WB - Western Blot | IHC - Immunohistochemistry | ICC - Immunocytochemistry | FCM - Flow Cytometry | ELISA - Enzyme-linked Immunosorbent Assay | IP - Immunoprecipitation
#P21171
相关产品

微信/QQ登录


首页
