提醒成功
搜索
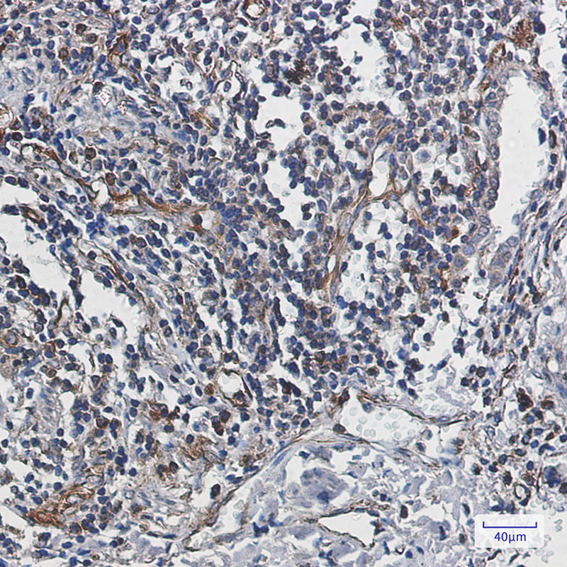
Rabbit Monoclonal Antibody to Caspase 10
-
货号:
P21161 -
别名:
CASP10; MCH4; Caspase-10; CASP-10; Apoptotic protease Mch-4; FAS-associated death domain protein interleukin-1B-converting enzyme 2; FLICE2; ICE-like apoptotic protease 4 -
应用:
WB,IP,IHC -
反应种属:
Human -
抗体类型:
Primary antibody -
Swissprot:
Q92851 -
规格:
-
数量:
-+ -
说明书:
目录价¥2180
Rabbit Monoclonal Antibody to Caspase 10
Description |
|---|
Caspases are a family of cytosolic aspartate specific cysteine proteases. Involved in the activation cascade of caspases responsible for apoptosis execution. Cleaved Caspase 10 leads to the processing of Caspase 3 and Caspase 7, initiating a caspase cascade and subsequent apoptosis. |
Specification |
|
|---|---|
| Aliases | CASP10; MCH4; Caspase-10; CASP-10; Apoptotic protease Mch-4; FAS-associated death domain protein interleukin-1B-converting enzyme 2; FLICE2; ICE-like apoptotic protease 4 |
| Entrez GeneID | 843 |
| Swissprot | Q92851 |
| WB Predicted band size | Calculated MW: 59 kDa; Observed MW: 59 kDa |
| Host/Isotype | Rabbit IgG |
| Antibody Type | Primary antibody |
| Storage | Store at 4°C short term. Aliquot and store at -20°C long term. Avoid freeze/thaw cycles. |
| Species Reactivity | Human |
| Immunogen | Recombinant protein of human Caspase-10 |
| Formulation | Purified antibody in TBS with 0.05% sodium azide,0.05%BSA and 50% glycerol. |
Application |
|
|---|---|
| WB | 1/500-1/1000 |
| IP | 1/10-1/20 |
| IHC | 1/50-1/100 |
Product Image
For Reseach Only
Application Key:WB - Western Blot | IHC - Immunohistochemistry | ICC - Immunocytochemistry | FCM - Flow Cytometry | ELISA - Enzyme-linked Immunosorbent Assay | IP - Immunoprecipitation
#P21161
相关产品

微信/QQ登录


首页
