提醒成功
搜索
Rabbit Monoclonal Antibody to Carbonic Anhydrase 1
-
货号:
P21156 -
别名:
CA1; Carbonic anhydrase 1; Carbonate dehydratase I; Carbonic anhydrase B; CAB; Carbonic anhydrase I; CA-I -
应用:
WB,IHC -
反应种属:
Human,Mouse,Rat -
抗体类型:
Primary antibody -
Swissprot:
P00915 -
规格:
-
数量:
-+ -
说明书:
目录价¥2180
Rabbit Monoclonal Antibody to Carbonic Anhydrase 1
Description |
|---|
Reversible hydration of carbon dioxide. Can hydrates cyanamide to urea. |
Specification |
|
|---|---|
| Aliases | CA1; Carbonic anhydrase 1; Carbonate dehydratase I; Carbonic anhydrase B; CAB; Carbonic anhydrase I; CA-I |
| Entrez GeneID | 759 |
| Swissprot | P00915 |
| WB Predicted band size | Calculated MW: 29 kDa; Observed MW: 29 kDa |
| Host/Isotype | Rabbit IgG |
| Antibody Type | Primary antibody |
| Storage | Store at 4°C short term. Aliquot and store at -20°C long term. Avoid freeze/thaw cycles. |
| Species Reactivity | Human,Mouse,Rat |
| Immunogen | A synthetic peptide of human Carbonic Anhydrase I |
| Formulation | Purified antibody in TBS with 0.05% sodium azide,0.05%BSA and 50% glycerol. |
Application |
|
|---|---|
| WB | 1/500-1/1000 |
| IHC | 1/50-1/100 |
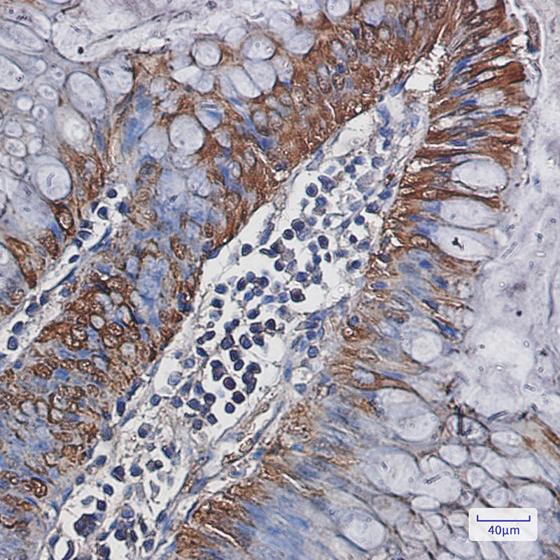
Product Image
- Western blot analysis of Carbonic Anhydrase 1/CA1 in TF1, mouse gastric lysates using Carbonic Anhydrase 1 antibody.
- Western blot analysis of Carbonic Anhydrase 1/CA1 in rat Brain lysates using Carbonic Anhydrase 1/CA1 antibody.
- Immunohistochemistry analysis of paraffin-embedded Human colon cancer using Carbonic Anhydrase I antibody. High-pressure and temperature Sodium Citrate pH 6.0 was used for antigen retrieval.
For Reseach Only
Application Key:WB - Western Blot | IHC - Immunohistochemistry | ICC - Immunocytochemistry | FCM - Flow Cytometry | ELISA - Enzyme-linked Immunosorbent Assay | IP - Immunoprecipitation
#P21156
相关产品

微信/QQ登录


首页
