提醒成功

搜索
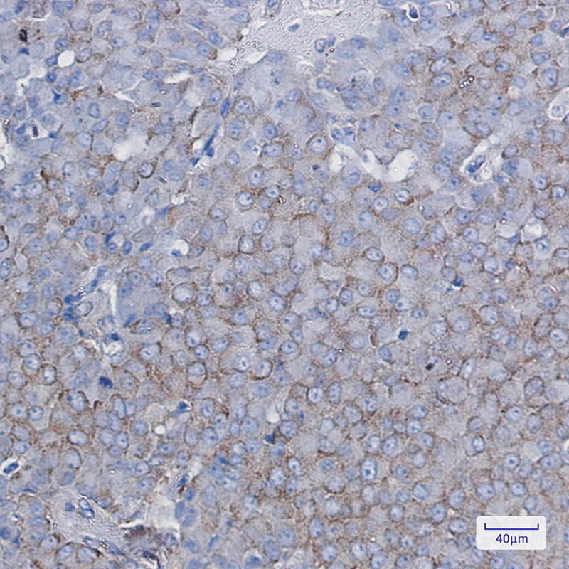
Rabbit Monoclonal Antibody to BTF3
-
货号:
P21140 -
别名:
NACB; BTF3a; BTF3b; BETA-NAC -
应用:
WB,IP,IHC -
反应种属:
Human,Mouse,Rat -
抗体类型:
Primary antibody -
Swissprot:
P20290 -
规格:
-
数量:
-+ -
说明书:
目录价¥2180

Rabbit Monoclonal Antibody to BTF3
Description |
---|
When associated with NACA, prevents inappropriate targeting of non-secretory polypeptides to the endoplasmic reticulum (ER). Binds to nascent polypeptide chains as they emerge from the ribosome and blocks their interaction with the signal recognition particle (SRP), which normally targets nascent secretory peptides to the ER. BTF3 is also a general transcription factor that can form a stable complex with RNA polymerase II. Required for the initiation of transcription. |
Specification |
|
---|---|
Aliases | NACB; BTF3a; BTF3b; BETA-NAC |
Entrez GeneID | 689 |
Swissprot | P20290 |
WB Predicted band size | Calculated MW: 22 kDa; Observed MW: 22 kDa |
Host/Isotype | Rabbit IgG |
Antibody Type | Primary antibody |
Storage | Store at 4°C short term. Aliquot and store at -20°C long term. Avoid freeze/thaw cycles. |
Species Reactivity | Human,Mouse,Rat |
Immunogen | Recombinant protein of human BTF3 |
Formulation | Purified antibody in TBS with 0.05% sodium azide,0.05%BSA and 50% glycerol. |
Application |
|
---|---|
WB | 1/500-1/1000 |
IP | 1/10-1/20 |
IHC | 1/50-1/100 |
Product Image
For Reseach Only
Application Key:WB - Western Blot | IHC - Immunohistochemistry | ICC - Immunocytochemistry | FCM - Flow Cytometry | ELISA - Enzyme-linked Immunosorbent Assay | IP - Immunoprecipitation
#P21140

相关产品


