提醒成功
搜索
Rabbit Monoclonal Antibody to Bcl-XL
-
货号:
P21120 -
别名:
BCL2L1; BCL2L; BCLX; Bcl-2-like protein 1; Bcl2-L-1; Apoptosis regulator Bcl-X -
应用:
WB,IP,IHC,IF -
反应种属:
Human,Mouse,Rat -
抗体类型:
Primary antibody -
Swissprot:
Q07817 -
规格:
-
数量:
-+ -
说明书:
目录价¥2180
Rabbit Monoclonal Antibody to Bcl-XL
Description |
|---|
The protein encoded by this gene belongs to the BCL-2 protein family. BCL-2 family members form hetero- or homodimers and act as anti- or pro-apoptotic regulators that are involved in a wide variety of cellular activities. |
Specification |
|
|---|---|
| Aliases | BCL2L1; BCL2L; BCLX; Bcl-2-like protein 1; Bcl2-L-1; Apoptosis regulator Bcl-X |
| Entrez GeneID | 598 |
| Swissprot | Q07817 |
| WB Predicted band size | Calculated MW: 26 kDa; Observed MW: 30 kDa |
| Host/Isotype | Rabbit IgG |
| Antibody Type | Primary antibody |
| Storage | Store at 4°C short term. Aliquot and store at -20°C long term. Avoid freeze/thaw cycles. |
| Species Reactivity | Human,Mouse,Rat |
| Immunogen | Recombinant protein of human Bcl-XL |
| Formulation | Purified antibody in TBS with 0.05% sodium azide,0.05%BSA and 50% glycerol. |
Application |
|
|---|---|
| WB | 1/500-1/1000 |
| IP | 1/10-1/20 |
| IHC | 1/50-1/100 |
| IF/ICC | 1/50-1/200 |
Product Image
- Western blot analysis of Bcl-XL in rat Brain, C6, 3T3, Hela lysates using Bcl-XL antibody.
- Western blot analysis of Bcl-XL in K562, rat Brain, 3T3 lysates using Bcl-XL antibody
- Immunocytochemistry analysis of Bcl-XL (green) in HT-1080 using Bcl-XL antibody,and DAPI(blue).
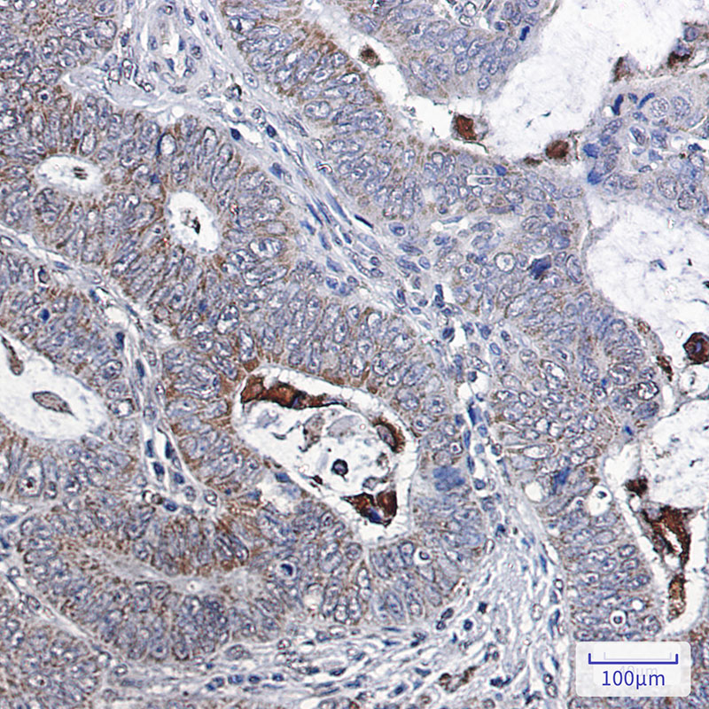
- Immunohistochemistry analysis of paraffin-embedded Human colon cancer using Bcl-XL antibody.High-pressure and temperature Sodium Citrate pH 6.0 was used for antigen retrieval.
For Reseach Only
Application Key:WB - Western Blot | IHC - Immunohistochemistry | ICC - Immunocytochemistry | FCM - Flow Cytometry | ELISA - Enzyme-linked Immunosorbent Assay | IP - Immunoprecipitation
#P21120
相关产品

微信/QQ登录


首页
