提醒成功
搜索
Rabbit Monoclonal Antibody to BAP31
-
货号:
P21115 -
别名:
BCAP31; BAP31; DXS1357E; B-cell receptor-associated protein 31; BCR-associated protein 31; Bap31; 6C6-AG tumor-associated antigen; Protein CDM; p28 -
应用:
WB,IHC,IF -
反应种属:
Human,Mouse -
抗体类型:
Primary antibody -
Swissprot:
P51572 -
规格:
-
数量:
-+ -
说明书:
目录价¥2180
Rabbit Monoclonal Antibody to BAP31
Description |
|---|
May play a role in anterograde transport of membrane proteins from the endoplasmic reticulum to the Golgi. May be involved in CASP8-mediated apoptosis. |
Specification |
|
|---|---|
| Aliases | BCAP31; BAP31; DXS1357E; B-cell receptor-associated protein 31; BCR-associated protein 31; Bap31; 6C6-AG tumor-associated antigen; Protein CDM; p28 |
| Entrez GeneID | 10134 |
| Swissprot | P51572 |
| WB Predicted band size | Calculated MW: 28 kDa; Observed MW: 28 kDa |
| Host/Isotype | Rabbit IgG |
| Antibody Type | Primary antibody |
| Storage | Store at 4°C short term. Aliquot and store at -20°C long term. Avoid freeze/thaw cycles. |
| Species Reactivity | Human,Mouse |
| Immunogen | A synthetic peptide of human BAP31 |
| Formulation | Purified antibody in TBS with 0.05% sodium azide,0.05%BSA and 50% glycerol. |
Application |
|
|---|---|
| WB | 1/500-1/1000 |
| IHC | 1/50-1/100 |
| IF/ICC | 1/50-1/200 |
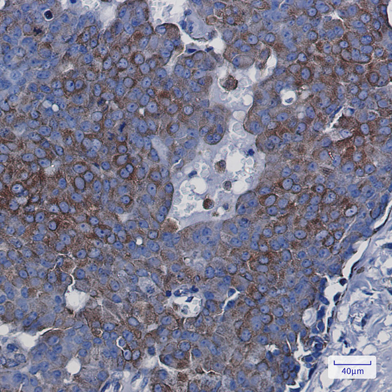
Product Image
- Western blot analysis of BAP31 in K562, Hela lysates using BAP31 antibody.
- Immunocytochemistry analysis of BAP31(green) in Hela using BAP31 antibody,and DAPI(blue)
- Immunohistochemistry analysis of paraffin-embedded Human breast cancer using BAP31 antibody. High-pressure and temperature Sodium Citrate pH 6.0 was used for antigen retrieval.
For Reseach Only
Application Key:WB - Western Blot | IHC - Immunohistochemistry | ICC - Immunocytochemistry | FCM - Flow Cytometry | ELISA - Enzyme-linked Immunosorbent Assay | IP - Immunoprecipitation
#P21115
相关产品

微信/QQ登录


首页
