提醒成功

搜索
Rabbit Monoclonal Antibody to Bad
-
货号:
P21108 -
别名:
BAD; BBC6; BCL2L8; Bcl2 antagonist of cell death; BAD; Bcl-2-binding component 6; Bcl-2-like protein 8; Bcl2-L-8; Bcl-XL/Bcl-2-associated death promoter -
应用:
WB,IP,IHC,IF -
反应种属:
Human,Mouse,Rat -
抗体类型:
Primary antibody -
Swissprot:
Q92934 -
规格:
-
数量:
-+ -
说明书:
目录价¥2180

Rabbit Monoclonal Antibody to Bad
Description |
---|
Promotes cell death. Successfully competes for the binding to Bcl-X(L), Bcl-2 and Bcl-W, thereby affecting the level of heterodimerization of these proteins with BAX. Can reverse the death repressor activity of Bcl-X(L), but not that of Bcl-2 (By similarity). Appears to act as a link between growth factor receptor signaling and the apoptotic pathways. |
Specification |
|
---|---|
Aliases | BAD; BBC6; BCL2L8; Bcl2 antagonist of cell death; BAD; Bcl-2-binding component 6; Bcl-2-like protein 8; Bcl2-L-8; Bcl-XL/Bcl-2-associated death promoter |
Entrez GeneID | 572 |
Swissprot | Q92934 |
WB Predicted band size | Calculated MW: 18 kDa; Observed MW: 23 kDa |
Host/Isotype | Rabbit IgG |
Antibody Type | Primary antibody |
Storage | Store at 4°C short term. Aliquot and store at -20°C long term. Avoid freeze/thaw cycles. |
Species Reactivity | Human,Mouse,Rat |
Immunogen | A synthetic peptide of human Bad |
Formulation | Purified antibody in TBS with 0.05% sodium azide,0.05%BSA and 50% glycerol. |
Application |
|
---|---|
WB | 1/500-1/1000 |
IP | 1/10-1/20 |
IHC | 1/50-1/100 |
IF/ICC | 1/50-1/200 |
Product Image
- Western blot analysis of Bad in rat Brain, C6, 3T3, Hela lysates using Bad antibody.
- Immunocytochemistry analysis of Bad(green) in Hela using Bad antibody,and DAPI(blue)
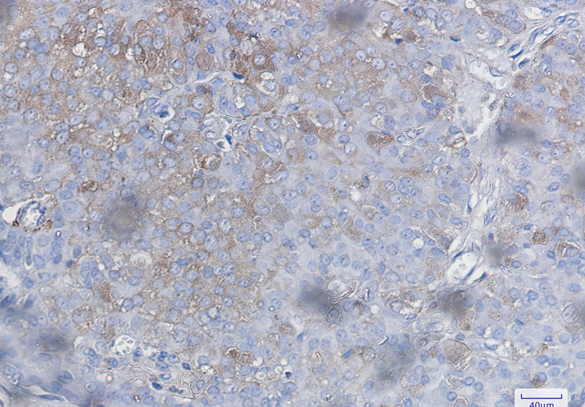
- Immunohistochemistry analysis of paraffin-embedded Human breast cancer using Bad antibody.High-pressure and temperature Sodium Citrate pH 6.0 was used for antigen retrieval.
For Reseach Only
Application Key:WB - Western Blot | IHC - Immunohistochemistry | ICC - Immunocytochemistry | FCM - Flow Cytometry | ELISA - Enzyme-linked Immunosorbent Assay | IP - Immunoprecipitation
#P21108

相关产品


